公众服务首页
司法行政人员首页
欢迎您访问司法行政(法律服务)案例库
首页 > 南方医科大学司法鉴定中心就心脏破裂、心包积血原因的法医病理鉴定

南方医科大学司法鉴定中心就心脏破裂、心包积血原因的法医病理鉴定

分享
案例内容
【案情简介】

某日凌晨3时许,某派出所接“110”报案:在某酒店有人进行卖淫嫖娼活动,要求出警查处。根据监控视频,3时16分派出所民警出警将卖淫、嫖娼的违法嫌疑人刘某(女,35岁)、陈某(男,34岁)抓获,陈某疑似醉酒状态;3时22分民警将陈某带进电梯时,陈某极力挣扎;3时27分民警将陈某带到酒店门口时,再次与民警发生争执,因有群众围观,监控视频未能完全清晰记录争执过程中所发生的肢体接触,仅显示陈某被制服后卧倒于地面;3时32分民警将陈某拖拉至警车时无反映;3时45分到派出所时民警发现陈某面色发青、体征异常,立即通知120急救,后抢救无效于当日4时30分宣告临床死亡。陈某死因为何?舆论界猜测不断,过量酗酒致死?嫖娼过程中原有病源发作致死?还是和民警争执过程中外力致死?或另有他因呢?南方医科大学司法鉴定中心接受委托,对死者的死因进行鉴定。

【鉴定过程】

尸表检验:右眼角外侧见1cm×1.5cm擦伤,右耳垂至下颏正中线处见12.5cm×1.5cm擦挫伤,右耳廓外侧5cm×2.5cm范围内见不规则片状擦挫伤,腰部正中下方见1.5cm×1cm表皮剥脱,左腋中线下方21cm处见1.2cm×2cm表皮剥脱,右手腕见4cm×1.3cm擦挫伤,左手腕见3cm×8.5cm擦挫伤,余未见明显异常。

尸体解剖主要发现:右侧3、4肋间和4、5肋间见小片状出血,纵膈处见10cm×8.5cm×0.8cm片状出血(图1);心包完整,心包腔内见血性积液370ml,其中含凝血块120ml(图2);冠状动脉左前降支管腔Ι级狭窄,左旋支未见异常,右冠脉管腔Ⅱ级狭窄,右心室在心尖处破裂,破口穿通右心室(图3,图4),周围脂肪组织内出血,下腔静脉、左肺静脉被膜下出血。

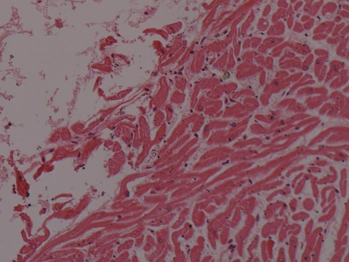
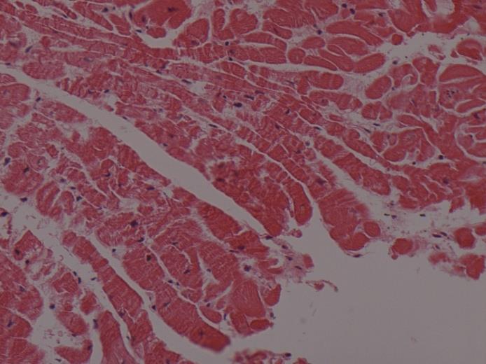
组织病理学检查:心外膜破裂口处脂肪组织内出血(图5),仅破裂口周围心肌嗜酸性变,部分心肌收缩带坏死(图6);其余心肌未见坏死、炎症,未见破口周边的心肌组织有大范围梗死灶。其余器官除淤血、水肿外未见明显异常。

特殊检查:对陈某尸体心血进行酒精含量测定,检出乙醇(酒精)成分,其含量为207.6mg/100mL;对陈某尸体心血进行常见毒药物筛查,未检出常见毒药物成分。

心包注水实验(目的:了解死亡后从心脏破口可能溢出的出血量):整体实验在不影响法医病理死因鉴定的情况下进行,剔除心脏肥大及有高血压病史案例。挑选案例共22例,包括重度颅脑损伤8例,机械性窒息5例,大出血3例,高坠2例,电击2例,溺水2例;年龄在21岁-52岁,中位年龄33岁;男女比例:13/9。 心包注水实验步骤:暴露心包后,在主动脉根部心包折返处剪开一1cm长横行切口,使用医用导尿管将心包内积液吸出并测心包积液量和性状,心包积液大于5mL的案例剔除,而后向心包腔内注水,待液体从心包上部切口溢出时,停止注水,计算注入水量,经统计计算心包腔内可容纳的最大液体含量为145±33mL。

【分析说明】

1.系统尸体检验检见陈某患有冠状动脉粥样硬化症,但管腔狭窄程度轻,也未见粥样斑块破裂、出血、血栓形成等急性冠脉综合征相关病理学改变,组织病理学检查也未见心梗致心脏破裂的相关病理学改变,故分析认为,可排除自身疾病致心脏破裂的可能。

2.经对陈某尸体心血进行酒精含量测定,结果为207.6mg/100mL,达到酩酊的程度,但未达致死浓度;对陈某尸体心血进行常见毒药物筛查,未检出常见毒药物成分,可排除因常见毒药物中毒致死的可能。

3.系统尸体检验检见陈某的心脏破裂,位于心尖的右心室处,贯通右心室,心包腔内积血370ml,其中含120ml凝血块,考虑可能因素有钝性暴力所致和急救心脏按压所致。根据心包注水实验,正常成年人心包容积应小于180ml,而实际上心包腔内为负压,可入的水量应更少,本案心包腔内积血370ml,应考虑受伤当时还存在血压,并非心跳停止时急救所致。另根据案情,陈某被送到派出所时民警发现其面色发青,说明此时张某已发生心脏破裂和心包内积血,故分析认为,陈某是在醉酒的情况下,因钝性暴力致右心室破裂、心包腔内积血引起急性心功能障碍而死亡。

【鉴定意见】

陈某在醉酒的情况下,因钝性暴力致右心室破裂、心包腔内积血引起急性心功能衰竭而死亡。

 

图1 纵膈片状出血


图2 心包内积血

图3 右心室在心尖处破裂

图4 心脏破口穿通右心室

图5心外膜破裂口处脂肪组织内出血(HE×200)

图6破裂口周围部分心肌收缩带坏死(HE×200)

您的满意度:
满意
基本满意
不满意
您的满意度: