华东政法大学司法鉴定中心对一例纠纷后意外猝死当事人的法医病理鉴定
案例内容
【案情简介】
某小区保安刘某,男,47岁,2017年4月20日15时20分左右,保安刘某与浙牌轿车车主胡某因收停车费发生纠纷,纠纷过程中,刘某被胡某推倒在地受伤。120将刘某送往医院后,医院初步诊断,刘某面部轻微擦伤。4月21日下午14时30分刘某到某派出所制作报案笔录,16时20分左右,双方当事人由人民调解员调解。调解过程中,刘某提出5万元的赔偿金额,双方当事人因赔偿数额差距过大无法达成一致意见。16时50分左右,调解员发现刘某趴俯在桌上,询问其是否身体不适,是否需要送医院,刘某摇头表示不需要。17时48分左右,准备将刘某送往医院时发现刘某身体异常,立即拨打120,由救护车将刘某送到浙江舟山市某医院,经医院全力抢救无效,19时10分,医院宣告刘某死亡。
据浙江舟山市某医院门诊病历(门诊号:87XXXXX)记载:患者于40分钟前,在派出所突发神志不清,呼之不应,无四肢抽搐及活动,无大小便失禁,无牙关紧闭,无口吐白沫,即呼120送入院,途中医务人员给予胸外按压,无呕血及大小便失禁。既往史:既往无高血压病史、糖尿病病史。昨日与人争吵后头面部外伤。体格检查:神志不清,面色苍白,紫绀,躯体发凉,脉搏测不到,呼吸、心跳消失,双侧瞳孔散大,左侧5mm,右侧5mm,对光反射消失,腹部软,四肢末梢紫绀,全身未见明显外伤痕。辅助检查:心电监护示直线。查体:意识不清,全身发绀明显,P: 0次/分,R:0次/分,BP:测不出,神志不清,双侧瞳孔散大固定5mm,光反射消失,双侧颈动脉搏动消失,心音消失,无自主呼吸。腹软,双下肢无浮肿。四肢深浅反射均消失。患者病情危重,入院后积极予心电监护,持续胸外按压,并立即开放静脉通路,每3分钟推注肾上腺素1mg,并予生理盐水500ml静滴,急请麻醉科插管,18:12左右患者气管插管成功,后接呼吸机辅助呼吸,IPPV模式,VT500ml,FI02 100%,3次,EP5mmHg。持续抢救60分钟,心跳呼吸均无,心电图仍提示一直线,抢救无效,汇报总值班及科室主任,于19:10宣布死亡。
案后家属认为刘某的死与前一天的纠纷有关,并强调刘某前一天被推倒在地后反复表示头痛。据死者刘某在冲突后的笔录示,被胡某巴掌打中脸后,站不稳倒地,之后感觉到头晕、胸闷及恶心。而据胡某笔录示,他只是顺势推了刘某一把,对方顺势倒地,并没有击打行为。双方各执一词。
故本案法医病理学检验不仅对案件的性质影响重大,还关系到死者刘某家属的补偿救济以及胡某所应承担的法律责任。为帮助查明刘某死亡原因,经刘某家属与浙江舟山市某矛盾纠纷调处指导服务中心一致同意,委托华东政法大学司法鉴定中心对刘某作尸体检验。华东政法大学司法鉴定中心三名鉴定人于2017年6月19日中午,在舟山市某殡仪馆,对死者刘某进行尸体解剖。
【鉴定过程】
1.尸表检验:尸长171cm,头颅外观无畸形,头部未见明显外伤痕迹,面部未见表皮擦伤与皮下出血,右侧面颊部有淡棕红色颜色改变;双眼球睑结合膜未检见出血点,角膜中度混浊,双侧瞳孔等大等圆隐约可见,直径约0.5cm;双侧耳廓正常,外耳道通畅,无分泌物;外鼻无畸形,鼻腔通畅,无分泌物;口唇无紫绀,粘膜无破损,口腔无异物,舌无畸形,牙龈无出血,齿无缺失。颈项部皮肤完整,未见破损、压痕及出血。胸部无畸形,压之无骨擦感,左侧乳头内侧皮肤上有一针孔。腹部平坦,无外伤。
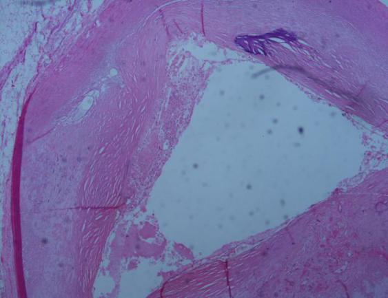
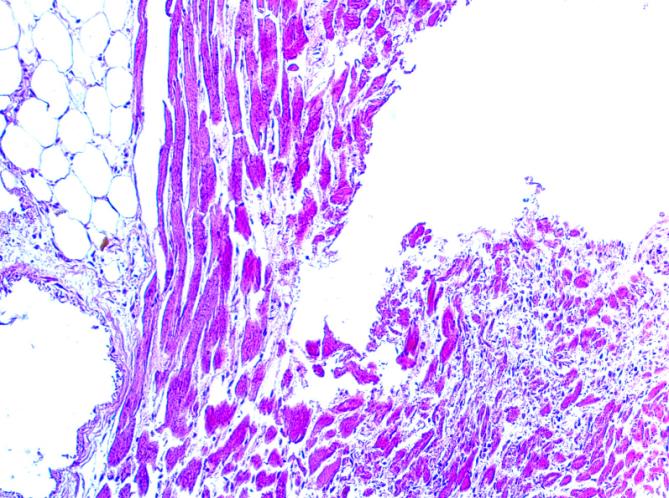
2.解剖检验:右面颊部淡棕红色颜色改变(图1),切开未见皮下淤血(图2);头皮下未见皮下出血,大、小脑呈轻度自溶状态,大脑、小脑及脑干切面未见挫伤,硬脑膜外、硬脑膜下、蛛网膜下及脑内未见出血;各肺叶间及胸膜无粘连,肺表面及叶间无出血点,切面有血性液体溢出。两侧胸腔内少量血性液体,左、右支气管下段可见见少量血性液体心包光滑(图3),心包腔内有约300ml血液及凝血块(图4);心脏明显偏大,切面可见左心室壁心肌增厚(图5),左心室壁厚2.6cm,右心室壁厚0.6cm,左房壁厚0.2cm,右房壁厚0.2cm;左心室前壁大面积透壁性心肌梗死灶(图8),心肌梗死灶在心外膜处有一处0.1cm的破口(图7),此破口同坏死的心肌间隙相通并直达心腔;左心室前壁近心尖处切面见白色纤维化斑块形成;冠状动脉左前降支、左旋支、右冠状动脉主干管壁增厚,管腔均重度硬化、钙化、狭窄,左心室部分区域血管切面可见到完全闭塞的血管(图6);双肺表面光滑,未见出血点,质地较软,淤血明显,切面有血性液体溢出,未见其他异常病变;肝脏表面光滑,呈红褐色,大小、形态无异常,切面淤血,未检见异常;胃粘膜未见腐蚀现象及出血点,胃壁粘附有少量食物残渣;胰腺轻度自溶,大小、形态正常,表面及实质未见出血等改变;脾脏包膜完整,大小、形态正常,切面淤血;肾脏双肾大小、形态正常,被膜易剥离,切面未见实质内出血、坏死等改变,肾盂、肾盏无出血等改变。
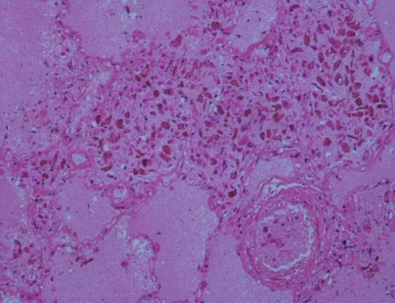
3.病理组织学检查:脑组织毛细血管广泛淤血,未见出血及坏死灶;右冠状动脉狭窄(图9),左心室前壁心肌细胞呈嗜伊红色增强,心肌细胞排列紊乱,心肌纤维增长增粗,部分区域可见大面积新鲜坏死区,心肌轮廓尚存,细胞核消失,核缩、核溶,胞浆呈均质细颗粒状,间质有大量中性粒细胞浸润,坏死心肌组织间有新鲜凝血块,部分区域可见心肌组织被大量的纤维组织代替(图11、图12);肺泡壁毛细血管扩张淤血,肺泡壁增厚,肺泡腔内充满大量粉红色液体并有少量红细胞,部分区域可见到心衰细胞(图10);肝细胞排列整齐,毛细血管扩张淤血,无假小叶形成,汇管区未见异常细胞;脾窦扩张,淤血,脾小体中央动脉无异常改变;胰自溶,结构模糊,胰间质及周围脂肪组织未见灶性坏死;双侧肾脏皮髓质分界清晰,肾小球毛细血管正常,近远曲小管细胞肿胀,间隙增宽,呈淤血改变。
4.毒物化验:刘某心血、肝组织和胃壁组织及胃内容均检出巴比妥成分,所送心血中巴比妥的含量为1.19μg/ml;均未检出乙酰甲胺磷、敌敌畏、甲基对硫磷、三唑磷、乐果、氰戊菊酯、高效氯氟氰菊酯、氯氰菊酯、毒鼠强、安定、艾司唑仑、阿普唑仑、三唑仑成分。
【分析说明】
1.本案中刘某头面部、颈部及全身体表皮肤完整、无表皮剥脱、皮下出血及皮肤裂创,尸体解剖未见颅内、胸腹腔内出血及全身骨折征象,故可排除被鉴定人暴力性损伤致死;被鉴定人颈部皮下软组织及肌肉无出血、舌骨及甲状软骨无骨折、体表及脏器检查无机械性窒息征象,故可排除被鉴定人机械性窒息死亡。
2.刘某的心血、肝组织和胃壁组织及胃内容中均检出巴比妥成分,均未检出乙酰甲胺磷、敌敌畏、甲基对硫磷、三唑磷、乐果、氰戊菊酯、高效氯氟氰菊酯、氯氰菊酯、毒鼠强、安定、艾司唑仑、阿普唑仑、三唑仑成分。定量分析:心血中巴比妥的含量为1.19μg/ml,未达到致死血浓度110-380μg/ml,故可排除被鉴定人巴比妥中毒死亡。
3.尸体解剖检验见心脏明显增大,左心室壁心肌明显肥厚,心腔扩张,冠状动脉粥样硬化,管腔狭窄,冠状动脉左前降支、左旋支、右冠状动脉主干均有重度硬化、狭窄伴钙化,说明刘某生前有较严重的冠状动脉硬化性心脏病。病理检查发现左心室前壁大面积新鲜透壁性心肌梗死灶,心肌梗死灶在心外膜处有一处0.1cm的破口,此破口同坏死的心肌间隙相通并直达心腔,此破口是导致心包腔积血约300ml的原因。由于左心衰导致肺循环回流受阻而产生急性肺淤血、肺水肿。
4.急性心肌梗死的病因主要为冠状动脉粥样硬化,在急性心肌梗死中,心脏破裂最常发生于心室前壁,心室前壁破裂是心脏破裂中最常见的一种,约占心脏破裂的90%。常见于急性心肌梗死发病后5天内,尤以第1天内最为多见。常发生于初次急性透壁心肌梗死,尤其是前壁心肌梗死。综上,刘某因急性左心室前壁大面积透壁性梗死,导致左心室壁全层破裂、心包填塞致急性循环功能衰竭死亡。
【鉴定意见】
被鉴定人刘某系急性透壁性心肌梗死,左心室前壁破裂、心包填塞致急性循环功能衰竭死亡。

(图1)右侧面部皮肤颜色改变(图2)右面部颜色改变区域切开无凝血块

(图3)两侧支气管血性液体(图4)心包填塞(血液及凝血块)

(图5)心脏血管增厚、硬化及狭窄(图6)心脏血管闭塞

(图7)透壁性心肌坏死及心外膜穿孔处(图8)陈旧性心肌梗死灶

(图9)右冠状动脉狭窄(图10)肺水肿及“心衰细胞”

(图11)心左前壁细胞呈嗜伊红色、心肌细胞坏死(图12)心左前壁细胞呈嗜伊红色、心肌细胞坏死