公众服务首页
司法行政人员首页
欢迎您访问司法行政(法律服务)案例库
首页 > 法大法庭科学技术鉴定研究所对格林-巴利综合征当事人的法医病理鉴定

法大法庭科学技术鉴定研究所对格林-巴利综合征当事人的法医病理鉴定

分享
案例内容
【案情简介】

张某,男,47岁,2015年某日该男与他人发生矛盾,被他人用砖头打伤头部,伴有流血,伤后无昏迷,伴有头痛、头晕、心慌,恶心未吐,无肢体抽搐,无大小便失禁,就诊当地某医院,急诊行头CT未见颅内出血及颅骨骨折,急诊给予缝合头皮裂伤、肌注破伤风抗毒素、补液等对症治疗,患者仍有头痛、头晕症状明显。入院完善相关检查,给予消肿、改善脑循环等对症治疗,患者头部伤口对合良好。伤后第5天诉头痛、头晕及伤处疼痛好转,出院。伤后第7天开始出现全身乏力及四肢麻木,以右上肢为明显。伤后第11天就诊另一所医院,入院查体:右侧肢体活动不灵,上肢肌力为2级,下肢为3级;双侧巴宾斯基征(-),颈软无抵抗,脑膜刺激征(-)。肌电图显示左腓总神经F波未引出,右腓总神经F波出现率低,潜伏期延长等。伤后第15天家属要求转院,进入另一家医院继续治疗,查体:神清,憋气,言语声音小,费力。双侧周围性面瘫(右侧重),伸舌居中,双上肢肌力0级,双下肢肌力Ⅰ级,腱反射对称减弱,病理征(-)。患者凝血酶时间13.5秒、活化部分凝血活酶时间46秒、纤维蛋白原7.15g/L、D-二聚体含量明显升高。心电图示,患者窦性心动过速,非特异性ST段异常。腰穿结果回报,常规:脑脊液细胞总数5×106/L,白细胞计数2×106/L,生化:脑脊液糖82mg/dL,脑脊液氯108mmol/L,脑脊液蛋白164mg/dL。伤后第18天昏迷,血气结果示pO2206mmHg、pCO2112mmHg、pH7.202,于当天死亡。

【鉴定过程】

尸表检查:成年男性尸体,营养中等,发育正常。右额部皮肤可见一疤痕,大小为4.6cm×0.2cm,内上外下走行。腰部第3、4腰椎椎间隙处皮肤可见一处穿刺针痕。余未见异常。

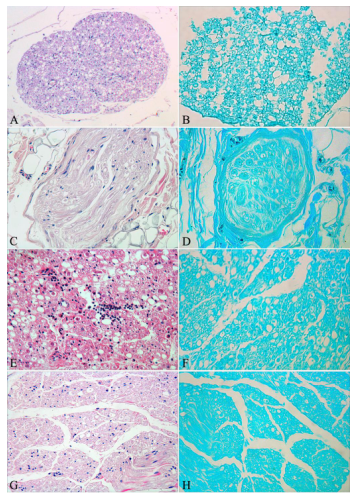
尸体解剖:(1)右额部皮肤疤痕对应处头皮下出血,大小1.3cm×0.7cm,余未见异常;(2)逐层分离颈部皮肤、皮下、肌肉、双侧颈丛及膈神经、臂丛;(3)提取双侧第8~10肋肋间肌;胸腹腔脏器联合取出后,分离腰大肌,其深面可见腰丛;(4)分别从左、右腋窝外侧壁沿肱二头肌内侧沟至肘窝内侧切开皮肤及皮下组织,分离肌肉,可见双侧正中神经和尺神经;(5)尸体俯卧位,项背腰部正中纵形切开皮肤及皮下组织,剥离肌肉,依次打开颈段、胸段及腰段脊髓腔,硬脊膜完整,剪断双侧脊神经根,取出全段脊髓及部分马尾,共长45cm;(6)分别从双下肢腘窝上方正中至踝部背侧切开皮肤及皮下组织,分离腘窝处肌肉,可见双侧坐骨神经、胫神经及腓总神经;横断双侧小腿后群肌肉,从横断的静脉内突出坚实呈香肠样游离的血栓样物,表面粗糙;(7)左冠状动脉前降支、旋支及右冠状动脉主干管壁粥样硬化斑块形成,管腔狭窄Ⅱ~Ⅲ级;(8)右下叶肺动脉内条状血栓样物阻塞,血栓样物表面粗糙。右肺下叶可见肺出血实变区,大小4.0cm×4.5cm×5.0cm。组织病理学检验:(1)颈、胸及腰段脊髓白质结构疏松,部分脊神经根神经纤维髓鞘脱失;(2)颈丛、臂丛及腰丛神经束膜玻璃样变,局灶性神经束膜可见少量炎细胞浸润,部分神经纤维髓鞘脱失;(3)膈神经、正中神经、尺神经、坐骨神经、胫神经及腓总神经部分神经纤维髓鞘脱失,局灶性小血管周围可见少量炎细胞浸润;(4)肋间肌、三角肌前束及小腿后群肌肉(腓肠肌和比目鱼肌)局部肌纤维纤细,萎缩,伴少量炎细胞浸润,散在灶、片状间质出血。肌间神经纤维断裂,节段性溶解,并可见吞噬细胞浸润。双侧小腿深静脉内可见血栓栓子,小静脉扩张、淤血;(5)弥漫性肺泡壁毛细血管及间质小静脉扩张、淤血,右下叶肺动脉内可见血栓栓子。部分肺泡腔内充满均质粉染物。右肺下叶肺泡腔及肺间质可见出血、血浆蛋白性渗出等,局部红细胞崩解,肺组织结构破坏。劳克坚牢蓝(Luxol fast blue,LFB)髓鞘染色:颈、胸及腰段脊髓;颈丛、臂丛及腰丛;膈神经、正中神经、尺神经、坐骨神经、胫神经及腓总神经;小腿后群肌肉(腓肠肌和比目鱼肌)肌间神经部分髓鞘染色不均,呈半环状,有的髓鞘完全不着色,呈空白区(图1)。

法医病理学诊断:(1)头皮裂伤缝合术后;(2)格林-巴利综合征,继发四肢肌肉萎缩;(3)右下叶肺动脉血栓栓塞,双侧小腿深静脉血栓形成;(4)肺出血性梗死、肺出血,肺淤血、水肿;(5)冠状动脉粥样硬化,管腔狭窄Ⅱ~Ⅲ级。

【分析说明】

格林-巴利综合征(Guillain-Barré syndrome,GBS)又称为急性炎症性脱髓鞘性多发性神经病,是一种急性起病,以神经根、外周神经损害为主,伴有脑脊液中蛋白-细胞分离为特征的综合征。大约2/3GBS患者发病前有急性感染史,最常见的是上呼吸道感染症状,从感染到出现GBS症状的潜伏期为1-3周,平均潜伏期为11天。目前GBS发病机制倾向于细菌或病毒感染导致机体免疫功能失常,激活了细胞免疫和体液免疫,导致周围神经脱髓鞘而发病。常见的细菌和病毒有空肠弯曲菌、巨细胞病毒、EB病毒、肺炎支原体等。任何年龄和男女均可得病,但以男性青壮年为多见。

本例张某脊神经根(颈、胸和腰段脊髓)、神经丛(颈丛、臂丛和腰丛)、神经(膈神经、正中神经、尺神经、坐骨神经、胫神经和腓总神经)以及肌间神经(肋间肌、三角肌前束、腓肠肌和比目鱼肌)髓鞘脱失,同时伴有吞噬细胞浸润,神经束膜和小血管周围可见炎细胞浸润。LFB髓鞘染色见部分髓鞘染色不均,呈半环状,有的髓鞘完全不着色,呈空白区。而且继发三角肌前束和小腿后群肌肉(腓肠肌和比目鱼肌)萎缩。上述符合格林巴利综合征多发性神经根及神经炎性脱髓鞘的病理学改变。

同时,根据解剖检验及组织病理学检查还可见,本例张某右下叶肺动脉内条状血栓样物阻塞,血栓样物表面粗糙,呈右下叶肺动脉血栓栓塞所见,而且双侧小腿深静脉管腔内检见游离血栓栓子。根据血栓栓子形态学所见,表明引起右下叶肺动脉血栓栓塞的栓子应来源于双侧小腿深静脉。此外,张某右肺下叶可见肺出血实变区,大小4.0cm×4.5cm×5.0cm。大量肺泡腔及肺间质可见出血、血浆蛋白性渗出等,以右肺下叶为重,其中局部红细胞崩解,肺组织结构破坏,呈凝固性坏死改变。肺淤血、水肿。上述符合肺出血性梗死、肺出血的病理学改变。由于张某双下肢肌力减低,肢体活动不利,容易使下肢静脉血液流动不畅,形成血栓。5月11日凝血四项检查发现血浆D-二聚体含量明显升高,可能机体血管内有活化的血栓形成。当静脉压发生急剧变化或血流量明显增加时,如长期卧床后突然活动等,可使血栓部分或全部脱离,血栓脱落后可迅速通过静脉系统阻塞肺动脉分支,造成肺出血性梗死。同时张某所患格林巴利综合征还累及膈神经和肋间神经,进一步加重呼吸功能的障碍。

【鉴定意见】

被鉴定人张某符合患有格林巴利综合征,继发右下叶肺动脉血栓栓塞、肺出血性梗死及肺出血,导致呼吸、循环功能障碍而死亡。


图A,C,E,G HE染色显示,胸髓脊神经根、右侧膈神经、右侧臂丛及右侧尺神经纤维髓鞘脱失;B,D,F,H LFB染色显示,胸髓脊神经根、右侧膈神经、右侧臂丛及右侧尺神经髓鞘染色不均,呈半环状或空白区(A~D ×200;E~H ×400)


您的满意度:
满意
基本满意
不满意
您的满意度: