公众服务首页
司法行政人员首页
欢迎您访问司法行政(法律服务)案例库
首页 > 法大法庭科学技术鉴定研究所对颅脑交通伤后遗伤残的法医临床鉴定

法大法庭科学技术鉴定研究所对颅脑交通伤后遗伤残的法医临床鉴定

分享
案例内容
【案情简介】

简要案情张某,男,2002年生人。2013年8月4日11时许,骑自行车行驶中发生交通事故致伤。现办案机构提请分别依据GB 18667-2002《道路交通事故受伤人员伤残评定》、GA/T 1193-2014《人身损害误工期、护理期、营养期评定规范》对王某的伤残等级、营养期、护理期进行法医学评定。

张某病历摘要:

1、伤后某医院住院病历载:第一次入、出院日期:2013年8月4日、2013年9月23日。现病史:缘于入院前1小时,患者被车撞伤,伤及头部,当即神志不清,左侧头皮出血,在当场未作处理,急来我院,于急诊外科检查包扎伤口后,为进一步手术治疗住入我科。患者自伤后昏迷、呕吐一次,为胃内容物,无抽搐及二便失禁等症。专科情况:患者昏迷、被动体位,呼之不应,不睁眼,无呻吟,疼痛刺激无反应,头颅五官无畸形,左侧颞顶处有一开放性伤口,有活动性出血,有坏死脑组织流出,双眼球左斜视及游动,双侧瞳孔正大等圆,对光反射存在,左外耳道有血性液体流出,颈软,生理反射、病理征未引出。辅助检查:头胸腹CT:左侧颅骨粉碎性骨折,脑挫伤,蛛网膜下腔出血。胸腹未见外伤性改变。诊疗经过:手术治疗等、重症监护治疗、神经营养治疗、针灸、高压氧治疗,功能锻炼等。2013年8月4日行“开放性颅脑损伤清创、开颅探查、去骨瓣减压、颅脑血肿清除术”。术中见颞部颅骨部分内陷,见骨折线向颞枕顶部延伸,有游离碎骨片,见脑组织自破损处外溢,咬除碎骨片,清除内陷骨片,修整骨窗,骨蜡止血,颞部硬膜悬吊,显露顶枕部硬膜边缘,距骨窗约1厘米,清除坏死脑组织,见黑色凝血块涌出,仔细止血,见无活动出血,冲洗创面,严密缝合破损硬膜……于硬膜外留置引流管一根……。出院时情况:患者饮食、穿衣、大小便不能完全自理。神清,混合性失语、失语改善不明显。左眼视物障碍(视野缺损)。左侧肢体活动正常。右侧肢体活动明显、上肢肌力3级略强、下肢肌力4级强,右手指活动灵活似好转。出院诊断:1、开放性重型颅脑损伤;2、左侧颞枕顶骨骨折;3、左侧颞顶叶脑挫裂伤;4、蛛网膜下腔出血;5、颅底骨折;6、头皮挫裂伤,额顶部血肿。

第二次入、出院日期:2013年9月23日、2014年1月26日。入院时情况:颅脑损伤术后50天康复治疗。右侧肢体瘫痪、视物障碍50天,因车祸致头部外伤伴意识障碍。头颅五官畸形呈术后改变……住院要求继续行针灸、高压氧治疗等。神清、淡漠,反应迟钝、问话不答或简单应答、混合失语,头颅左侧呈术后改变。五官无畸形,双侧瞳孔正大等圆,对光反射灵敏,左眼视物障碍(待眼科详查)。耳、鼻及口未见异常分泌物。颈软,无抵抗,双侧肱二、三头肌腱反射正常,双侧膝、跟腱反射正常,双侧Babinski氏征阴性,双侧Kernig氏征阴性。余未见明显异常。诊疗经过:予以健脑、针灸、高压氧治疗。嘱其家属加强患者语言、肢体功能锻炼、加强监护等。出院时情况:患者饮食可、睡眠可,大小便不能自理,混合性失语、失语改善不明显。左眼视物障碍(视野缺损)改善不明显。左侧肢体活动正常。右侧肢体活动明显(受限)、上肢肌力3级略强、下肢肌力4级强,右手指活动灵敏好转不明显。继续行针灸、高压氧治疗。嘱其家属加强患者语言、肢体功能锻炼、加强监护等。出院诊断:1、开放性重型颅脑损伤康复治疗期;2、右侧肢体瘫痪(肌力差);3、左眼视物障碍(眼科待查)等。

2、某医院门诊病历载:2014年6月5日。车祸后右眼外侧视物遮挡10月余。右:0.6,左:1.0。视野检查:双眼同侧偏盲。

【鉴定过程】

张某于伤后9个月余来法大法庭科学技术鉴定研究所检查所见:一般情况良好,步入检查室,右侧偏瘫步态,神清少语,查体合作。左颞顶部可见马蹄形手术瘢痕22.0cm×0.3~0.5cm,其下方可触及颅骨缺损,范围约7.5cm×7.5cm,局部凹陷明显,颅压低。颅神经检查:双侧面纹对称,眼球运动自如,双侧瞳孔等大,对光反射灵敏,鼓腮不漏气,伸舌居中,示齿时右侧鼻唇沟略浅。左侧肢体好,肌张力不高,肌力Ⅴ级。右侧上肢肌力近端Ⅳ级、远端Ⅳ-级,霍夫曼氏征(+);右侧下肢肌张力高,肌力近端Ⅳ级、远端Ⅲ级,腱反射亢进,提睾反射(+),巴彬斯基氏征(±)。右侧皮肤感觉迟钝。余体格检查未见明显异常。

精神检查:神清,定向力稍差,不知家住何城市,不知来此干什么。接触较被动,对大部分问话能切题回答,语速慢,语量少。对一般常识了解较差,简单计算稍差。表情尚自然,未见精神病性症状。应用《婴儿-初中学生社会适应能力量表》对张某进行测查,得分为8分,属轻度智力缺损。

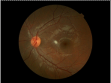
眼科常规检查:远视力:右裸眼1.0,左裸眼 1.0。双眼位正,眼球各方向运动到位。双眼结膜无充血,角膜清,前房中深,KP(-),Tyn(-)。双眼瞳孔基本等大正圆,对光反应(++);双眼晶体清,双眼玻璃体轻度泥沙样混浊。小瞳下眼底:双眼视神经乳头色正界清,血管走行正常,黄斑部中心凹光反射(±)。(眼底像见附件1)

视觉诱发电位(VEP)检查:Goggles-VEP示:双眼1.9/s~10.9/s均可诱出NPN波形;双眼P2波潜伏期及波幅基本正常。PRVEP示:左眼空间频率阈值正常(7′),P100波潜伏期及波幅基本正常;右眼空间频率阈值正常(7′),高空间频率P100波较左侧潜伏期稍长、波幅稍低,低空间频率潜伏期及波幅基本正常。(见附件2)

外院静态视野检查:中心30度范围视野:双眼右侧同向性偏盲。(见附件3)

2013-8-4头颅CT片示:左侧颞、枕、顶骨骨质不连续,左侧顶骨游离骨块向内塌陷,局部脑组织向外膨出;左颞顶叶局部可见高密度灶、密谋不均匀,左外侧裂池密度增高,左侧侧脑室轻度受压,中线结构尚居中;左颞顶枕部头皮下软组织肿胀、密度增高。(见附件4-A)

2013-8-9头颅CT示:左侧开颅术后,局部颞顶颅骨缺如,左颞顶枕叶脑水肿明显,其内兼以高密度影,左侧侧脑室受压,局部中线结构略右偏。(见附件4-B)

【分析说明】

张某于2013年8月4日因交通事故受伤。根据现有病历材料、结合我们检查及阅片所见,明确其所受损伤为:开放性重型颅脑损伤,左侧颞顶枕骨骨折,左侧颞顶叶脑挫裂伤,蛛网膜下腔出血,颅底骨折,头皮挫裂伤,左颞顶枕部头皮血肿。

(一)关于伤残等级评定

张某经行“开放性颅脑损伤清创、开颅探查、去骨瓣减压、颅脑血肿清除术”及神经营养治疗、针灸、高压氧、功能锻炼等相应对症治疗,目前其上述伤情基本稳定,具备进行伤残等级评定的条件。

张某2013年8月9日颅脑CT平扫显示其“左侧颞顶枕叶脑水肿明显,其内兼以高密度影,左侧侧脑室受压”等明显颅脑器质性改变;目前查见张某遗有右侧肢体偏瘫(肌力Ⅳ级以下)、轻度智能障碍、双眼同向性偏盲、左侧颞顶部分颅骨缺损等征。

根据GB 18667-2002《道路交通事故受伤人员伤残评定》标准第4.4.1条第d)款之规定,张某的右侧肢体偏瘫(肌力Ⅳ级以下)的伤残等级为Ⅳ级;根据该标准第4.8.1条第a)款之规定,其轻度智能障碍的伤残等级为Ⅷ级;根据该标准附则第5.1条,并比照第4.6.2条第d)款、第4.10.2条第c)款及附录A.8的相关规定,其双眼同向性偏盲的伤残等级以Ⅷ级为宜;根据该标准第4.10.2条第r)款之规定,其颅骨缺损的伤残等级为Ⅹ级。

(二)关于营养期及护理期评定

张某在本次交通事故中造成重型开放性颅脑损伤,住院期间经行手术及相应对症治疗。损伤早期需要限制于卧床接受治疗,且在颅脑损伤恢复过程中,日常生活需依赖他人帮助或者协助完成,并需补充营养以促进神经功能恢复。其目前存在右侧肢体偏瘫、轻度智能障碍、双眼同向性偏盲、左侧颞顶部分颅骨缺损等征,日后仍需护理。

根据张某的上述损伤特点、实际治疗康复情况及损伤一般预后等因素,依据GA/T 1193-2014《人身损害误工期、护理期、营养期评定规范》之规定,张某的伤后营养期可考虑90-120日,护理期可考虑至评残日前一日止,具体请结合实际发生情况使用。

【鉴定意见】


1.张某的右侧肢体偏瘫(肌力Ⅳ级以下)的伤残等级为Ⅳ级;其轻度智能障碍的伤残等级为Ⅷ级;其双眼偏盲的伤残等级为Ⅷ级;其颅骨缺损的伤残等级为Ⅹ级。

2.张某的伤后营养期可考虑90-120日,护理期可考虑至评残日前一日止,具体请结合实际发生情况使用。

【附件】

附件1:眼底像

附件2:视觉诱发电位(VEP)检查

附件3:双眼静态视野检查结果(中心30度)

附件4:影像学资料扫描图片

附件1:眼底像

 

 

右眼底

左眼底

附件2:视觉诱发电位(VEP)检查

 Goggles-VEP

PRVEP

 

 

 左眼

右眼

 左眼

右眼


附图3:双眼静态视野检查结果(中心30度)


右眼

左眼


 

 

 

附件4:影像学资料扫描图片


您的满意度:
满意
基本满意
不满意
您的满意度: