公众服务首页
司法行政人员首页
欢迎您访问司法行政(法律服务)案例库
首页 > 法大法庭科学技术鉴定研究所对牙齿损伤程度的法医临床鉴定

法大法庭科学技术鉴定研究所对牙齿损伤程度的法医临床鉴定

分享
案例内容
【案情简介】

简要案情 2016年10月18日下午17时左右,在河北省某村,孙某因与他人发生纠纷并争执厮打致伤。伤后某法医损伤检验鉴定室对其出具法医学人体损伤程度鉴定书,鉴定意见为“轻微伤”。因孙某对该鉴定意见存在异议,申请重新鉴定。

病历摘要  主诉:颈部及口腔部外伤后疼痛、出血伴头晕3小时余。专科情况:右侧颞顶部头皮肿胀触痛明显。头面部可见多处不规则皮肤擦伤,渗血明显。口腔内可见牙齿:1-1-2-21双脱落,牙槽窝内可见血凝块,牙龈肿胀,触痛明显。辅助检查:患者于我院行CT检查示:颅脑及颈椎CT检查未见明显异常。2016-10-19口腔科行X线牙片及曲面断层片示:1.牙齿:┼1脱落;2.牙齿:21┼--2-21脱落;3.中度牙周病。出院诊断:1.头部外伤;2.颈背部外伤;3.上左右中切牙脱落;4.下左侧切、右中切侧切牙脱落。

【鉴定过程】

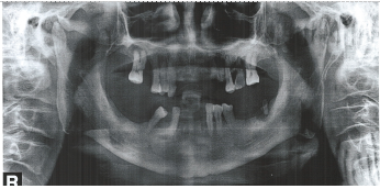
孙某伤后2个月来我所检查所见:口腔内上下多颗牙齿缺失,仅存留7颗上齿及5颗下齿,口腔卫生差,剩余牙齿黄,牙根外露,牙龈萎缩。余常规检查未见明显异常。(本次外伤后拍摄照片见附件1,本次鉴定时拍摄照片见附件2)

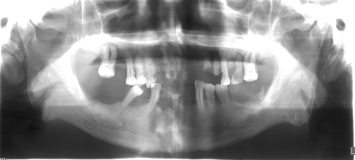
2016年10月20日曲面断层示:口腔内多颗牙齿缺失,分别为右上126、左上12、右下1247、左下1267,其中双侧上下切牙牙槽骨隐见牙槽窝,片中所示牙槽骨吸收明显,遗留牙齿的牙槽骨吸收均达根长的1/2以上。

2016年11月13日曲面断层示:口腔内多颗牙齿缺失,分别为右上126、左上12、右下1247、左下1267,其中双侧上下切牙牙槽骨隐见牙槽窝,片中所示牙槽骨吸收明显,遗留牙齿的牙槽骨吸收均达根长的1/2以上。

2017年2月28日曲面断层示:口腔内多颗牙齿缺失,分别为右上126、左上12、右下1247、左下1267,其中双侧上下切牙牙槽骨隐见牙槽窝,较前片稍变浅,片中所示牙槽骨吸收明显,遗留牙齿的牙槽骨吸收均达根长的1/2以上。

【分析说明】

1.被鉴定人孙某受伤当天(2016-10-18)就诊即查见“右侧颞顶部头皮肿胀触痛明显。头面部可见多处不规则皮肤擦伤,渗血明显。口腔内可见牙齿:1-1-2-21双脱落,牙槽窝内可见血凝块,牙龈肿胀,触痛明显”。病历记录提示其头面部外伤明确,上述牙齿缺失符合牙齿新鲜脱落表现。

2.结合被鉴定人孙某伤后拍摄照片及目前于我所鉴定时拍摄照片(2016-12-28)显示其“口腔卫生差、多数牙根有一定程度外露、可见牙龈萎缩”等情况,提示其存在牙周疾病。医院辅助检查亦诊断其中度牙周病。

3.审阅被鉴定人孙某的伤后两次曲面断层检查(2016-10-20、2016-11-13)显示“口腔内多颗牙齿缺失,分别为右上126、左上12、右下1247、左下1267,其中双侧上下切牙牙槽骨隐见牙槽窝”,目前复查(2017-2-28)的曲面断层片显示其“双侧上下切牙牙槽骨隐见牙槽窝,较前片稍变浅”,余缺失牙齿同前,提示其双侧上下切牙符合新鲜脱落的表现。同时其三次曲面断层片均显示“牙槽骨吸收明显,遗留牙齿的牙槽骨吸收均达根长的1/2以上”,提示其存在明显牙周病表现。

综上分析,被鉴定人孙某本次外伤后“双侧上下切牙脱落”符合新鲜损伤表现,但同时其自身存在牙槽骨明显吸收并牙龈萎缩等牙周疾病。故,依据《人体损伤程度鉴定标准》第5.2.3 m)款及总则第4.3伤病情关系处理原则中4.3.2条之规定,被鉴定人孙某的本次外伤致多颗牙齿脱落的损伤程度属轻微伤。

【鉴定意见】

被鉴定人孙某的损伤程度为轻微伤。

【附件】

附件1:本次外伤后及本次鉴定时拍摄照片

附件2:孙某曲面断层影像学资料扫描图片

附件1 本次外伤后拍摄照片


本次鉴定时拍摄照片

 

正面像

 

 

上齿照片

下齿照片

 

 

左上齿照片

左下齿照片

附件2:影像学资料照片

2016年10月20日曲面断层(纸质图片)

2016年11月13日曲面断层(纸质图片)

2017年2月28日曲面断层(胶片)

您的满意度:
满意
基本满意
不满意
您的满意度: