公众服务首页
司法行政人员首页
欢迎您访问司法行政(法律服务)案例库
首页 > 司法鉴定科学研究院对受害人锐器创致肺破裂重新进行法医临床鉴定案

司法鉴定科学研究院对受害人锐器创致肺破裂重新进行法医临床鉴定案

分享
案例内容
【案情简介】

2021年4月25日21时15分,刘某被他人用锐器扎伤胸部。2021年5月10日,某司法鉴定中心鉴定意见为:被鉴定人刘某本次外伤致左肺上叶楔形切除术、肺大泡结扎术、肺修补术,构成重伤二级。现犯罪嫌疑人对上述鉴定意见有异议,为正确审理此案,委托人特委托我院对刘某的人体损伤程度进行法医学重新鉴定。

【鉴定过程】

(一)病历摘要

2021年4月25日23:13入住某市第一人民医院住院。入院时主诉:外伤后胸痛、进行性呼吸困难1小时。现病史:1小时前被人用刀刺伤左侧胸部,出现胸痛、胸闷,呼吸困难,进行性加重,在当地医院行伤口包扎并行胸部CT检查提示左侧血气胸后急被送来我院,以“胸部刀刺伤、左侧血气胸”收入院。专科检查:体温36.6℃,脉搏112次/分,呼吸22次/分,血压120/80mmHg。意识清楚,痛苦表情,面色苍白,口唇苍白。视诊:呼吸运动左侧减弱,呼吸频率快,呼吸深度正常,呼吸节律正常,肋间隙无增宽或缩窄。左侧胸部腋后线第8肋间可见一伤口,长约1.5cm,创缘不齐,见活动出血,探查入胸膜腔,局部触及捻发感,叩诊左侧呈鼓音,双肺呼吸音粗,左侧呼吸音弱,未闻及啰音。4月25日胸部CT示:左侧气胸,胸壁皮下积气,双肺挫伤。

住院诊疗经过:入院后急诊行VAST(胸腔镜)下左肺上叶楔形切除术,肺大泡结扎术、肺修补术、胸膜粘连烙断术、胸膜固定术、胸腔闭式引流术、胸壁扩创术(手术时间为4月26日0时至01时20分)。术中见:左肺下叶局部肺破裂,创口约2.0cm,破裂较深伴有出血及漏气,左侧胸腔见血性液体约200毫升,行含肺破裂在内局部肺楔形切除同时修补肺组织,肺切缘渗血丝线修补;另探查见左侧上叶与胸壁轻度粘连,肺尖有一处肺大泡约1.0cm×1.0cm,行含肺大泡在内局部肺楔形切除术。术中失血量20ml,未输血,输液1300ml。术后监测生命体征平稳,4月26日01:42查血红蛋白浓度为135g/L(参考值范围120~160)。4月28日病理结果示:左肺下叶符合肺外伤后病理改变,左肺上叶符合肺大泡病理改变。

5月12日出院时感左侧轻度胸痛,略胸闷,活动时明显,无呼吸困难,双肺呼吸音粗,左肺呼吸音偏弱。出院诊断:左侧创伤性肺破裂,左侧创伤性血气胸,创伤性湿肺,左侧胸部开放性锐器伤,左侧胸壁皮下血肿,肺大泡,胸膜粘连。

(二)法医学检验

1.体格检查

神清,步入检查室,对答切题,检查合作。左侧腋下见三条分别长2.0cm、1.5cm、1.5cm皮肤瘢痕。胸廓外观无畸形,左侧压痛(±),胸廓挤压征(±),双侧语颤存在,呼吸平稳、对称。

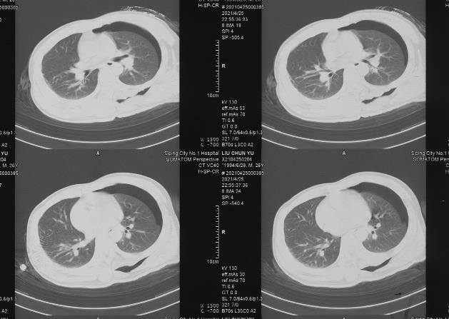
2.阅片所见

2021年4月25日21:27及22:55两次CT示:左侧腋胸背部皮下积气、积液,左侧少量气胸,左侧胸腔少量积液,肺组织轻度萎陷,22:55较21:27肺组织萎陷程度略有增加,但均未达30%;其右侧肺组织及胸腔未见明显外伤性改变。

2021年5月2日CT示:左肺术后改变,左肺轻度压缩,左侧胸腔少量积液,引流管在位。

2021年5月6日、5月29日CT示:左侧胸腔积液、积气已吸收,肺组织复张,左肺术后改变。

2021年8月27日CT示:左肺术后改变,左肺下叶背段少许条索状纤维灶。

【分析说明】

被鉴定人刘某遭他人持械作用受伤,临床诊断“胸部刀刺伤、左侧血气胸”,急诊行胸腔镜下左肺上叶楔形切除术、肺大泡结扎术、肺修补术、胸膜粘连烙断术、膜固定术、胸腔闭式引流术、胸壁扩创术治疗。术中探查见:左肺下叶局部肺破裂,创口约2.0cm,破裂较深伴有出血及漏气,左侧胸腔见血性液体约200毫升,予行含肺破裂在内局部肺楔形切除同时修补肺组织(未记录肺组织切除量);另见其左侧上叶与胸壁轻度粘连,肺尖有一处肺大泡约1.0cm×1.0cm,行含肺大泡在内局部肺楔形切除术。

目前本院审阅刘某受伤当日影像资料示左侧腋胸背部皮下积气、积液,左侧少量气胸,左侧胸腔少量积液,肺组织轻度萎陷,22:55较21:27摄片时肺组织萎陷程度略有增加,但均未达30%,上述不符合张力性气胸的影像学特点。阅其伤后11日复片示左侧胸腔积液、积气已吸收,肺组织复张,左肺术后改变。近期本院复片示左肺术后改变,左肺下叶背段少许条索状纤维灶。目前本院检见其胸廓外观无畸形,双肺呼吸平稳、对称,语颤存在。根据刘某伤后临床表现、影像学资料及手术所见等材料综合分析,其左胸壁穿透创并左侧血气胸诊断成立,且其胸部穿透创位于左侧胸腋部,与手术探查的左下肺破裂在损伤部位相吻合。就现有材料,尚无证据表明刘某本次血气胸的形成与其左肺尖处肺大泡之间存在因果关系,亦无证据证明其患有其他肺大泡破裂的情形。故分析,刘某左侧胸壁穿透创并左侧血气胸符合本次外伤所致。

肺循环的压力远低于体循环,小而浅表的肺损伤多可自行停止。临床上,胸部损伤者通过胸腔闭式引流等治疗即可缓解,多数无需手术治疗。临床上已行手术治疗的并不必然成为“须手术治疗”的依据,仍应以是否危及生命、是否须手术治疗作为评定伤情鉴定的考量标准。急诊开胸的适应征主要为:①进行性血胸,连续3小时所引流的血性液体>200ml/h,血红蛋白进行性下降,脉搏增快,血压下降;凝固性血胸:生命体征继续恶化,胸管内无血性胸液或仅引流出少量血性胸液,胸部X线检査显示胸腔阴影不断增大,表明可能为凝固性血胸。②置胸管引流后,大量气体逸出,呼吸困难,提示有气管或支气管裂伤,或广泛的肺裂伤。③心脏损伤、心包填塞。④胸内残留异物较大,子弹穿过纵隔、子弹栓塞和全身性空气栓塞。⑤食管破裂。

根据被鉴定人刘某伤后临床表现及手术记录、影像学资料等分析,其损伤当时肺裂伤破口较小,出血量不大,生命体征平稳,尚不至于危及生命,胸腔镜手术并非唯一首选的治疗方式,其伤情未达到《人体损伤程度鉴定标准》中附录A.2重伤二级的定义及5.6.2f条款所规定的程度。故依照《人体损伤程度鉴定标准》5.6.4f、5.6.4g之规定,本次外伤致左胸壁穿透创并左侧血气胸构成轻伤二级。

【鉴定意见】

被鉴定人刘某遭他人持械作用受伤,致左胸壁穿透创并左侧血气胸等,构成轻伤二级。

您的满意度:
满意
基本满意
不满意
您的满意度: