公众服务首页
司法行政人员首页
欢迎您访问司法行政(法律服务)案例库
首页 > 温州医科大学司法鉴定中心对交通事故受害人颅脑损伤伤残等级重新进行法医临床鉴定案

温州医科大学司法鉴定中心对交通事故受害人颅脑损伤伤残等级重新进行法医临床鉴定案

分享
案例内容
【案情简介】

2018年5月9日,董某(女,63岁)行走时被电动正三轮轻便摩托车碰撞受伤。经某司法鉴定所鉴定,其鉴定意见为:被鉴定人董某因2018年5月9日道路交通事故致左侧额颞叶及右侧额叶及右侧小脑半球挫裂伤、右侧额部及左侧额颞顶部硬膜下血肿、右侧枕部硬膜外血肿、创伤性蛛网膜下腔出血、脑疝、颅内感染、右侧枕骨骨折、左侧蝶窦骨折、右侧肩胛骨骨折等。目前遗留四肢肌力4级的伤残等级评定为五(5)级伤残;致颅脑损伤(经手术清除脑组织)的伤残等级评定为九(9)级伤残。保险公司对原鉴定意见有异议,现法院为办案需要,委托本中心参照《人体损伤致残程度分级》对被鉴定人董爱招的伤残等级进行重新鉴定。

【鉴定过程】

(一)病历摘要

1.2018年5月9日至6月11日住院病历

主诉:车祸致头部外伤后神志不清2小时。检查:昏迷状态,GCS4分,气管插管中。右侧瞳孔有眼疾,瞳孔无法检查,左侧瞳孔3.0mm,对光反射消失。双肺呼吸音清,未闻及干湿性啰音。腹平坦,触之软。刺痛下四肢肢体肌力Ⅰ级,右Babinski征阴性,左Babinski征阴性,Kernig征阴性。CT片(2018-5-9)示枕骨右侧骨折,累及后颅窝,中颅窝少许积气,左侧蝶窦骨折,右侧枕部硬膜外血肿,右侧额部、左侧额颞顶部硬膜下血肿,左侧额颞叶、右侧额叶挫裂伤,外伤性蛛血,脑肿胀、脑疝可能,蝶窦、右侧乳突鼓室鼓窦积液,枕顶部头皮血肿。

诊疗经过:于5月9日行左额颞顶开颅血肿清除术+去骨瓣减压术(术中形成骨瓣约9cm×11cm,见左额颞部脑压高,脑搏动弱,硬膜下呈紫蓝色,左侧额颞顶急性硬膜下血肿约40ml,左额叶广泛脑挫裂伤,左颞散在脑挫裂伤,清除硬膜下血肿及脑挫裂伤灶),术后予抗感染、护脑、化痰、营养支持等治疗。

出院诊断:右侧额部、左侧额颞顶部硬膜下血肿,右侧枕部硬膜外血肿,左侧额颞叶、右侧额叶挫裂伤,创伤性蛛网膜下腔出血,脑疝,枕骨右侧骨折,左侧蝶窦骨折,低蛋白血症,凝血功能异常,失血性贫血,电解质紊乱,肺部感染,右侧肩胛骨骨折,颅内感染,左侧额颞叶、右侧额叶及右侧小脑半球挫裂伤。

出院情况:神志基本清楚,刺痛下双上肢肌力Ⅳ+级,双下肢肌力Ⅳ级,肌张力正常。

2.2018年9月25日至10月31日住院病历

主诉:脑外伤术后颅骨缺损失4月。检查:神志模糊,右侧瞳孔直径3.0mm,对光反射存,左侧瞳孔直径3.0mm,对光反射存。左侧额颞顶颅骨缺损,约8×12cm大小,四肢肌张力正常,全身浅、深反射均正常,四肢肌力Ⅳ级,右Babinski征阴性,左Babinski征阴性,Kernig征阴性。CT片(2018年8月29日)示脑外伤左侧额颞顶部术后观,左侧额颞叶及右侧额叶挫裂伤后改变,部分已趋向软化灶,右侧枕骨骨折累及后颅窝底。

诊疗经过:于9月28日行颅骨修补术,术后予预防感染、预防癫痫、皮下负压引流等对症治疗。出院诊断:左额颞顶手术后颅骨缺失,脑外伤后综合征,继发性癫痫。

出院情况:神志模糊,GCS评分14分,左眼视物稍模糊,右上肢肌力Ⅳ-级,余肢肌力Ⅳ级,肌张力正常。

3.2018年12月24日至12月24日住院病历

主诉:颅骨修补术后3月,头痛10余天伴四肢无力4天。检查:神志嗜睡,GCS=3+5+6=14分,双侧瞳孔等大等圆,双上肢不自主抖动,左侧肢体肌力Ⅲ级,右侧肢体肌力Ⅱ级,左侧额颞顶颅骨修补术后改变。CT片(2018年12月24日)示左侧枕叶、胼胝体压部缺血梗塞灶,脑积水,左侧额颞叶大片软化灶,左侧额顶颞部颅骨修补术后改变。

诊疗经过:予预防癫痫、脱水降颅压等对症支持治疗。

出院诊断:脑积水,脑外伤综合症,左侧额颞顶颅骨修补术后。

4.2018年12月25日至12月31日住院病历

主诉:头部外伤术后7月余,行走不稳1周。检查:神志清楚,GCS评分15分,四肢肌张力正常,全身浅、深反射均正常,右上肢肌力Ⅰ级,右下肢肌力Ⅰ级,左上肢肌力Ⅴ级,左下肢肌力Ⅴ级,右Babinski征阴性,左Babinski征阴性,Kernig征阴性。

诊疗经过:予护脑、预防癫痫等对症治疗。

出院诊断:脑外伤综合症,脑积水。

5.2019年1月4日至1月25日住院病历

主诉:脑外伤术后半年余伴行走困难。

诊疗经过:于1月9日行脑室-腹腔分流术,术后予抗炎、抗癫痫、镇痛等对症治疗。

出院诊断:脑积水术后。

6.2019年1月25日至1月31日住院病历

主诉:脑外伤术后8个月,意识下降、四肢无力一月。检查:神志嗜睡,GCS13分(E3V4M6),遵嘱动作,检查合作,头颅无畸形,嗅觉粗测正常,双眼视力粗测正常,视野粗测未见明显异常,眼裂大小正常,两侧对称、无下垂,眼球活动自如,双瞳孔直径约3.0mm,对光反射灵敏,双侧视乳头无水肿,面部痛温觉正常,双侧角膜反射存在,嘴角不偏,鼻唇沟无变浅,四肢无肌颤或肌萎缩,四肢肌力4级,肌张力稍高,四肢腱反射正常,左侧巴氏征(-),右侧巴氏征(-),左侧克氏征(-),右侧克氏征(-),左侧戈登征(-),左侧霍夫曼征(-)。

诊疗经过:予抗感染、护胃、改善内环境、预防癫痫发作、稳定血压、化痰、营养神经等对症治疗及高压氧、针灸等康复治疗。

出院诊断:脑外伤术后,颅骨修补术后,脑室-腹腔分流术后。

7.2019年2月11日至3月19日住院病历

主诉:脑外伤术后8月余伴四肢无力1月余。检查:神志清,GCS14-15分,对答切题,无耳鼻流血流液,左瞳孔φ2mm左右,对光反射存。四肢活动存,上肢肌力Ⅳ级,下肢肌力Ⅳ-级,四肢肌张力略增加,双巴氏征(+)。

诊疗经过:予积极防治感染、神经营养等对症支持治疗及康复锻炼。

出院诊断:颅内损伤术后,脑积水术后。

(二)法医学检验

1.检验方法

按照《法医临床检验规范》(SF/Z JD0103003-2011)、《法医临床影像学检验实施规范》(SF/Z JD0103006-2014)、《人体损伤致残程度分级》对被鉴定人董爱招进行检验。

2.体格检查

神志清楚,由其家属陪同下步入检查室,能独立行走,但呈小碎步步态。左颞部见一长25.0cm弧形手术瘢痕,胸部见一长4.5cm纵行手术瘢痕。双眼球活动自如,双眼白内障,以右眼明显,瞳孔对光反射受影响。双侧鼻唇沟对称,伸舌居中,发音清楚。四肢肌力Ⅴ级,肌张力稍增高,双上肢偶有不自主抖动,指鼻不准确,闭目难立征(±),左肩关节活动略受限,双上肢腱反射(++),双侧膝反射略亢进(+++),踝反射(++),腹壁反射正常、对称,双侧巴氏征未引出,双侧霍夫曼征(-)。

3.阅片所见

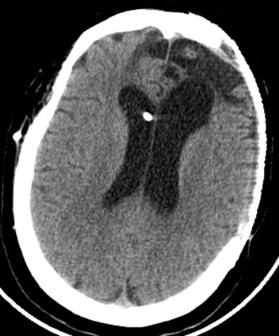
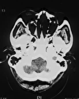
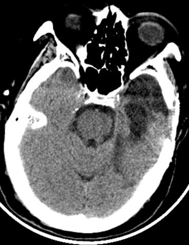
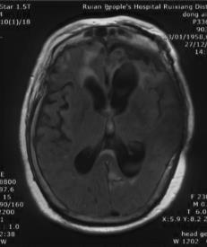
复阅2018年5月9日CT片:右枕顶部软组织肿胀、密度增高,右枕骨见线状骨质断裂、骨折线累及斜坡,右枕部颅板下见梭形致密阴影,大脑镰旁见线状致密阴影,左额颞部颅板下见弧形致密阴影,右额叶及左额颞叶均见斑片状高低混杂密度影,尤以左额叶明显,右侧小脑见斑片状高低混杂密度影。提示右枕顶部头皮血肿,右枕骨骨折,右枕部硬膜外血肿,蛛网膜下腔出血,右颞部硬膜下血肿,右额叶及左侧额颞叶脑挫裂伤,右侧小脑挫裂伤。

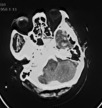
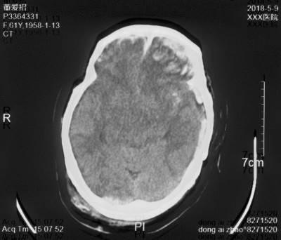
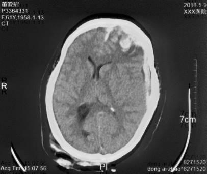
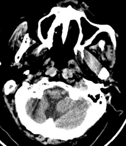
复阅2018年5月9日CT片:左额颞部开颅术后改变,部分颅骨缺如,左颞部脑组织见气体影,双侧额叶及右侧小脑见斑片状高低混杂密度影,大脑镰旁见线状致密阴影,右枕骨骨质断裂。提示左额颞部开颅术后改变,部分颅骨缺如,左颞部脑组织积气,双侧额叶及右侧小脑挫裂伤,蛛网膜下腔出血,右枕骨骨折。

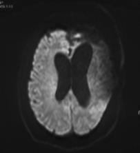
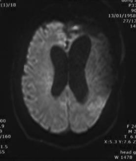
复阅2018年12月27日MRI片:左侧额颞部颅骨修补术后改变,两侧额颞叶、右侧小脑半球、左侧侧脑室后角旁均见长T1长T2异常信号,脑室系统扩大。提示左侧额颞部颅骨修补术后,两侧额颞叶、右侧小脑半球、左侧侧脑室后角旁软化灶形成。

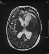
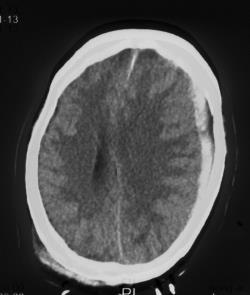
复阅2020年4月29日CT片:左侧额颞部颅骨修补、脑积水分流术后改变,人工颅板在位,双侧额颞叶、左侧枕叶及右侧小脑半球见片状低密度阴影,左侧脑室较右侧稍扩大,内见引流管在位。提示左侧额颞部颅骨修补、脑积水分流术后,双侧额颞叶、左侧枕叶及右侧小脑半球软化灶形成。

【分析说明】

根据委托方提供的病历、影像资料等,结合体格检查及案情,分析如下:

被鉴定人董某于2018年5月9日因交通事故致头部外伤后神志不清。临床检查:昏迷状态,GCS4分,气管插管中,刺痛下四肢肢体肌力Ⅰ级。影像学检查示右枕顶部头皮血肿,右枕骨骨折,右枕部硬膜外血肿,蛛网膜下腔出血,右颞部硬膜下血肿,右额叶及左侧额颞叶脑挫裂伤,右侧小脑挫裂伤。经临床行左额颞顶开颅血肿清除术+去骨瓣减压术(术中形成骨瓣约9cm×11cm,见左额颞部脑压高,脑搏动弱,硬膜下呈紫蓝色,左侧额颞顶急性硬膜下血肿约40ml,左额叶广泛脑挫裂伤,左颞散在脑挫裂伤,清除硬膜下血肿及脑挫裂伤灶),术后予对症支持治疗,后又行颅骨修补术及脑室-腹腔分流术。伤后至今近2年,临床症状稳定。

现场检查被鉴定人能独立行走,但呈小碎步步态,四肢肌力Ⅴ级,肌张力稍增高,双上肢偶有不自主抖动,指鼻不准确,闭目直立征(±),左肩关节活动略受限,双上肢腱反射(++),双侧膝反射略亢进(+++),踝反射(++)。

根据上述损伤的形态特征、临床表现,结合案情及本中心现场检查、阅片,分析认为,上述损伤及后遗症与此次交通事故存在直接因果关系。

被鉴定人颅脑损伤后遗留轻度非肢体瘫运动障碍(能独立行走,但呈小碎步步态,四肢肌张力稍增高,双上肢偶有不自主抖动,指鼻不准确,闭目直立征可疑,双侧膝反射略亢进),参照《人体损伤致残程度分级》第5.8.1.6)项之规定,构成八级伤残。

被鉴定人颅脑损伤行开颅术后(术中清除挫伤脑组织),参照《人体损伤致残程度分级》第5.9.1.3)项之规定,构成九级伤残。

其余损伤及后遗症未达人体损伤评残标准。

【鉴定意见】

被鉴定人董某颅脑交通伤,其颅脑损伤行开颅术后(术中清除挫伤脑组织),现遗留轻度非肢体瘫运动障碍的后遗症,分别评定为人体损伤八级、九级伤残。

 

  

图1-5,2018年5月9日 CT片,右枕顶部头皮血肿,右枕骨骨折,右枕部硬膜外血肿,蛛网膜下腔出血,右颞部硬膜下血肿,右额叶及左侧额颞叶脑挫裂伤,右侧小脑挫裂伤

 

图6-8,2018年5月9日 CT片,左额颞部开颅术后改变,部分颅骨缺如,左颞部脑组织积气,双侧额叶及右侧小脑挫裂伤,蛛网膜下腔出血,右枕骨骨折

  

  

图7-12,2018年12月27日MRI片,左侧额颞部颅骨修补术后,两侧额颞叶、右侧小脑半球、左侧侧脑室后角旁软化灶形成

  

图13-15,2020年4月29日 CT片,左侧额颞部颅骨修补、脑积水分流术后,双侧额颞叶、左侧枕叶及右侧小脑半球软化灶形成。

您的满意度:
满意
基本满意
不满意
您的满意度: