公众服务首页
司法行政人员首页
欢迎您访问司法行政(法律服务)案例库
首页 > 南京正泓司法鉴定所对交通事故受害人孙某某心源性猝死死因进行法医病理鉴定案

南京正泓司法鉴定所对交通事故受害人孙某某心源性猝死死因进行法医病理鉴定案

分享
案例内容
【案情简介】

2021年10月24日08时许,孙某某乘坐宋某某驾驶三轮载货摩托车后座XX路路口与同向行驶的小型轿车发生交通事故,孙某某出现意识丧失、呼之不应,后经医院抢救于同年11月7日死亡。

【鉴定过程】

(一)资料摘要

XX市第二人民医院出院记录(住院号:XXXX)

入院日期:2021-10-24,出院日期:2021-11-07。

入/出院诊断:1.呼吸心跳骤停(心肺复苏术后);2.缺氧缺血性脑病;3.呼吸衰竭;4.休克;5.肾功能不全;6.电解质代谢紊乱;7.肋骨骨折;8.肺部感染;9.胆囊结石;10.肝囊肿;11.单纯性肾囊肿。

入院时情况:患者因意识丧失、呼吸心跳骤停2小时住入我院。120急救人员到达现场患者已无自主呼吸,大动脉搏动消失,立即予以心肺复苏送至本院急诊,至急诊时患者昏迷,双瞳散大,直径5.0mm,均无光反射,颈动脉无搏动,生理反射消失,紧急抢救后患者恢复自主心率,无自主呼吸,气管插管,转运呼吸机控制通气,生理反射、病理反射均未引出。既往有髋关节炎病史,有胸闷心慌病史,未明确诊断。查体:深昏迷,GCS评分E1VTM1,平车推入病房,查体不合作。头胸腹CT:头颅CT平扫颅内未见明显异常;两肺上下叶局限性炎症,双侧胸膜局限性增厚,双侧多根前肋骨折可能性大;肝脏小囊性灶,胆囊小结石,右肾小囊性灶,双侧肾盂稍扩张;右侧髋关节骨关节炎。心电图(复苏前):室颤。心电图(复苏后):窦性心动过速,完全性右束支传导阻滞,ST-T段改变。

诊疗经过:入院后予冰帽亚低温脑保护、机械通气、脱水减轻脑水肿、升压、营养神经、维持内环境稳态、护胃、祛痰、支持对症等治疗。

出院情况:患者高热,无自主呼吸,气管插管机械通气,去甲肾上腺素、肾上腺素泵入升压,冬眠合剂持续泵入降温。鼻饲肠内营养,深昏迷,GCS评分E1VTM1,生理反射、病理反射未引出。

(二)尸表检验

成年女性尸体,冰冻稍缓解,尸体轻度腐败,尸长158cm,发育正常,营养一般。尸斑暗红色,位于尸体背侧未受压处,指压不褪色。双侧睑结膜点片状红染,球结膜苍白;角膜中度混浊,双侧瞳孔散大,直径约0.5cm;双侧鼻腔未见出血及异常分泌物;双侧外耳道未见出血及异常分泌物;口唇散在多处点状擦伤,最大一处范围直径约0.4cm;颊部黏膜未见破损,牙齿在位,无松动、脱落。右锁骨中段皮肤见一针眼,周围皮肤墨绿色改变,范围6.0cm×3.5cm。十指甲床苍白。余体表未见损伤及异常。

(三)解剖检验

冠状切开头皮,右额部头皮下出血,范围11.0cm×9.0cm;双侧颞肌未见出血,颅盖骨未见骨折。锯开颅骨,硬膜外、硬膜下未见出血,蛛网膜下腔未见出血。脑组织水肿明显,取出脑组织,脑表面脑沟变浅、脑回增宽。颅底未见骨折。

直线法切开胸、腹部皮肤,胸壁皮下及肋间肌未见出血,肋骨未及明显骨折,胸廓未见塌陷、畸形,揭去胸骨,胸骨未见骨折。心、肺在位,心包腔内见少量淡黄色液体,心脏表面未见破裂、出血;原位剪开右心及肺动脉,见鸡脂样凝血。双侧胸腔未见积血、积液,双肺表面及肺叶间暗红色,局灶苍白色改变。腹腔未见积血、积液,打开胃壁,见黄色水样胃内容约100ml,各脏器在位,未见损伤、破裂。

直线法剖开颈部皮肤,颈部皮下及肌肉未见明显异常。舌骨、甲状软骨、环状软骨未见骨折。食管、气管腔畅,未见异常改变。

提取全脑、心脏、双肺、肝胆、胰腺、脾脏、双肾行病理组织学检验。提取心血15ml,理化备检。

(四)组织学检验

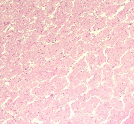
1. 脑:重1311g,大小:21.0cm×16.0cm×7.0cm。脑组织液化、自溶严重,组织结构松散,各成分、结构不可辨。

镜检:脑组织轻度自溶。脑组织内血管充血、淤血,神经细胞及小血管周围间隙稍增大。

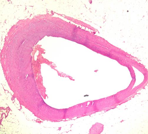
2. 心脏:重357g,大小:11.0cm×110.0cm×8.0cm。心肌厚度:左心室1.4cm,右心室0.4cm,室间隔1.3cm。各瓣膜瓣环周径:三尖瓣11.0cm,肺动脉瓣7.0cm,二尖瓣10.0cm,主动脉瓣6.0cm。左、右冠状动脉开口于窦边,各支走行未见异常,冠状动脉各支管腔未见狭窄。

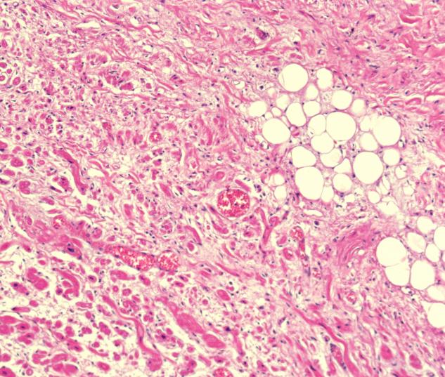
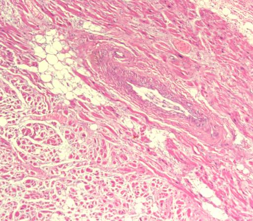
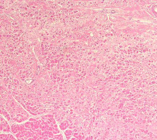
镜检:心脏轻度自溶。心肌纤维粗细不一,部分拉长变细,以乳头肌为甚,部分呈不规则波浪状排列,心肌间纤维组织增生和脂肪组织浸润,心肌被分隔为条索状,局部心肌纤维嗜伊红染色增强,部分横纹消失,部分心肌细胞核消失。窦房结纤维组织增多,结细胞减少,纤维化程度>75%,窦房结和房室结与束支内见脂肪细胞浸润。

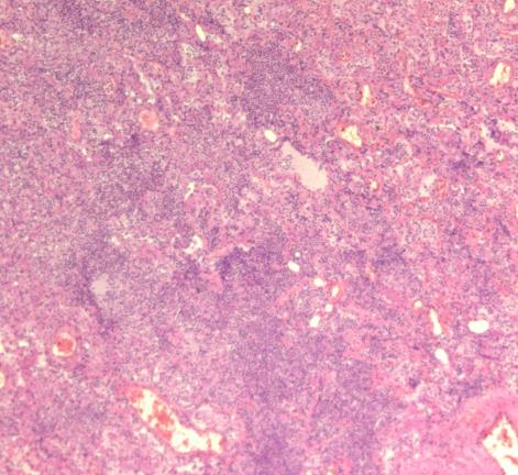
3. 肺脏:左肺重618g,大小20.0cm×17.0cm×6.5cm;右肺重664g,大小19.0cm×19.0cm×6.5cm。双肺表面及切面多呈暗红色,局灶黄褐色改变。

镜检:肺脏轻度自溶。广泛细支气管及其周围肺泡腔内充满以中性粒细胞为主的脓性渗出物,部分支气管上皮细胞脱落,尚见少量红细胞(以双肺下叶为甚);部分肺泡见均质红染的水肿液,多数伴出血,红细胞崩解,尚见轮廓。双侧肺脏见部分肺泡壁毛细血管破裂出血,肺泡腔内充满红细胞及渗出液,肺泡间隔水肿,部分肺泡腔破裂萎陷。

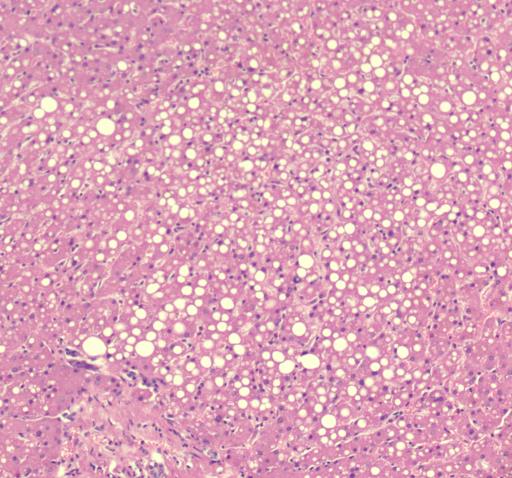
4. 肝脏:重1481g,大小25.0cm×17.0cm×10.5cm,表面及切面未见异常。胆囊未见异常。

镜检:肝细胞轻度自溶,肝小叶结构尚可辨,肝窦扩张,肝索排列正常,肝细胞弥漫混浊肿胀。局灶肝细胞脂肪变。

5. 肾脏:左肾重186g,大小11.5cm×7.0cm×4.0cm;右肾重187g,大小12.0cm×6.0cm×4.0cm。双肾包膜易剥离,表面、切面呈灰黄色,皮、髓质分界清,肾盂未见明显异常。

镜检:肾脏轻度自溶,肾小管上皮细胞自溶明显,肾小球毛细血管及间质血管充血,淤血。

6. 脾脏:重203g,大小13.5cm×7.5cm×4.5cm。脾脏包膜完整、皱缩。表面及切面未见异常。

镜检:脾脏自溶,脾窦扩张、内见崩解的红细胞轮廓及红染颗粒样物质。

7. 胰腺:重126g,大小19.0cm×5.0cm×2.0cm,表面及切面未见异常。

镜检:腺体轮廓尚可辨,未见明显异常,腺体细胞轻度自溶。

(五)法医病理学诊断

1. 头皮下出血(右额部);

2. 心脏传导系统纤维化、脂肪浸润;心肌缺血;

3. 肺部感染(双肺下叶为甚);肺水肿;局灶肺气肿;

4. 脑组织缺氧、缺血改变;

5. 多脏器缺血、缺氧改变;

多脏器充血、淤血、水肿;部分脏器自溶。

【分析说明】

根据检验情况,结合病史资料及案情调查,被鉴定人孙某某2021年10月24日乘坐三轮载货摩托车(后座)发生交通事故,当即意识丧失、呼吸心跳骤停,120急救人员到达现场时被鉴定人孙某某已无自主呼吸、大动脉搏动消失,予心肺复苏,至急诊时神志昏迷,双瞳散大、均无光反射,颈动脉无搏动,生理反射消失,紧急抢救后恢复自主心率,无自主呼吸、气管插管、转运呼吸机控制通气,生理反射、病理反射均未引出。既往有胸闷心慌病史。查体深昏迷,GCS评分E1VTM1。CT检查颅内未见明显异常,两肺上下叶局限性炎症、双侧胸膜局限性增厚等。心电图(复苏后)示窦性心动过速、完全性右束支传导阻滞、ST-T段改变。入院予亚低温脑保护、机械通气、脱水减轻脑水肿、升压、营养神经、维持内环境稳态、护胃、祛痰、支持等治疗。出院时被鉴定人孙某某高热、无自主呼吸、气管插管机械通气、去甲肾上腺素、肾上腺素泵入升压,冬眠合剂持续泵入降温。深昏迷,生理反射、病理反射未引出。出院后死亡。尸检见头皮下出血(右额部),余未检见明显异常改变。组织学检见窦房结纤维组织增多,结细胞减少,纤维化程度>75%,窦房结和房室结与束支内见脂肪细胞浸润,符合心传导系统纤维化、脂肪浸润病理组织学改变;广泛细支气管及其周围肺泡腔内充满以中性粒细胞为主的脓性渗出物,部分支气管上皮细胞脱落,尚见少量红细胞(以双肺下叶为甚),符合肺部感染病理组织学改变;另检见多脏器缺血、缺氧等改变。综上检验情况:1.尸体检验被鉴定人孙某某头皮下出血,余未检见致死性外伤,交通事故不足以直接致其死亡;2.根据组织学检验,被鉴定人孙某某心脏重357g(正常成年女性240g-260g),镜检见心脏传导系统纤维化、脂肪浸润,余未检见其他致死性疾病改变。结合复苏后心电图诊断,分析认为,被鉴定人孙某某符合自身罹患心脏传导系统纤维化、脂肪浸润等病变基础上突发心律失常致心跳骤停、多脏器缺血、缺氧继发肺部感染死亡。心律失常常因精神高度紧张或情绪激动等而发作,突发交通事故可诱发其心律失常的发作。

【鉴定意见】

孙某某符合自身罹患心脏传导系统纤维化、脂肪浸润等病变基础上突发心律失常致心跳骤停、多脏器缺血、缺氧继发肺部感染死亡。

脑组织镜下情况

冠脉情况 心肌镜下情况

窦房结镜下情况

房室结镜下情况

肺脏镜下情况

肝脏镜下情况 肾脏镜下情况

您的满意度:
满意
基本满意
不满意
您的满意度: