公众服务首页
司法行政人员首页
欢迎您访问司法行政(法律服务)案例库
首页 > 湖北医药学院法医司法鉴定所对患者村卫生室输液死亡死因进行法医病理鉴定案

湖北医药学院法医司法鉴定所对患者村卫生室输液死亡死因进行法医病理鉴定案

分享
案例内容
【案情简介】

据委托人介绍:2020年11月11日10时许,刘某某因“喉咙不适、流涕”到某村卫生室就诊,给予输液治疗5天,病情好转。2020年11月16日16:40许,刘某某诉“胃部不适”并出现“面色苍白”,邹某某(刘某某丈夫)即呼“120”并进行“掐人中”施救,“120”医务人员到场抢救无效后宣布临床死亡。

【鉴定过程】

(一)资料摘要

据某村卫生室2020年11月11日门诊处方笺(编号:XXXXXXX)记载:医保号:XXXXXXXX;临床诊断:上感。处方:5% GS 250ml×2/d,炎琥宁80mg×5支/d,头孢呋辛0.75g×6支/d,利巴韦林0.1g×5支/d;复方感冒灵颗粒10g×9袋/盒(口服一次一袋,一日3次)。

(二)检验过程

1.检验方法

按照《法医学尸体解剖规范》(SF/Z JD0101002-2015),于2020年11月17日对被鉴定人进行尸体解剖检验。

2.尸体解剖检验

青年女性尸体,自然保存,体型偏瘦,尸长约150cm。尸斑呈紫红色,位于颈项部及体背部未受压部位,重压褪色。双侧角膜轻-中度混浊,双侧瞳孔直径约5mm。尸僵位于四肢大关节、颞下颌关节及双手小关节处,强度中等。口腔、鼻腔、外耳道未见异常分泌物,双眼睑球结膜未见出血等异常。双手甲床发绀,口唇、双足趾甲轻度紫绀。双手背可见点状注射针痕。右小腿中下段后方见散在点灶状陈旧性脱皮痕。余体表未见异常。

头皮未见擦伤、挫伤及皮下血肿,颅骨无骨折。全脑组织重1286g,脑表面及切面轻度淤血,蛛网膜下腔无炎性渗出及出血,脑实质未见挫伤、出血。

喉头无水肿,喉部见少量淡黄色泡沫状黏液,食管、气管未见黏膜损伤、出血等异常。

双侧胸腔无积液、积血;双肺上叶局部与胸壁粘连,相应部位胸膜增厚,左肺叶间裂纤维性粘连;双肺表面呈灰白至暗红色,剖面质地不均匀,左肺重480g,右肺重582g;右肺上叶可见散在直径约0.3-0.5cm的出血点,剖面呈灰白色、质地较实;右肺中、下叶纤维性粘连;左肺上叶呈明显肺气肿改变,左肺下叶质地均匀,略呈实性改变;肺动脉及其分支管腔内未见血栓形成,支气管腔内见少量粘液栓形成。心包表面毛糙,部分与胸壁、膈肌粘连;心包腔明显缩窄、闭锁,心包脏、壁层广泛显著粘连;心重380g,心外膜脂肪稍多,心尖钝圆,左心室壁厚1.2cm,右心室壁厚0.5cm,室间隔厚约1.2cm;三尖瓣、二尖瓣瓣膜缘轻度增厚,局部轻度卷曲,三尖瓣口周长约10.5cm,二尖瓣口周长约8.5cm,肺动脉瓣口周长约6.5cm;左、右冠状动脉开口正常,冠状动脉左前降支和左旋支呈粥样硬化并钙化,斑块占居管腔约40%、30%,右冠状动脉未见明显病变。

腹部平软,腹腔内无积液。胃内可见未消化的食物残渣,胃底、胃大弯侧胃粘膜可见大量散在充血点,胃小弯侧胃粘膜见少量充血点。肝重1020g,表面光滑,表面及切面呈暗红、纹理灰黄相间,无明显结节性增生改变。脾重193g,表面略皱缩,质地均匀。双肾共重290g,表面及各切面无异常。胰腺灰红,无出血等病变。肠壁未见充血、淤血、色泽及质地改变。

3.组织病理学检验

1)心包与心脏广泛、显著粘连,心包腔明显缩窄、大面积闭锁,可见少量纤维素渗出伴少量慢性炎性细胞(淋巴细胞、浆细胞)浸润,大部分心包脏、壁层呈胶原性机化、粘连;

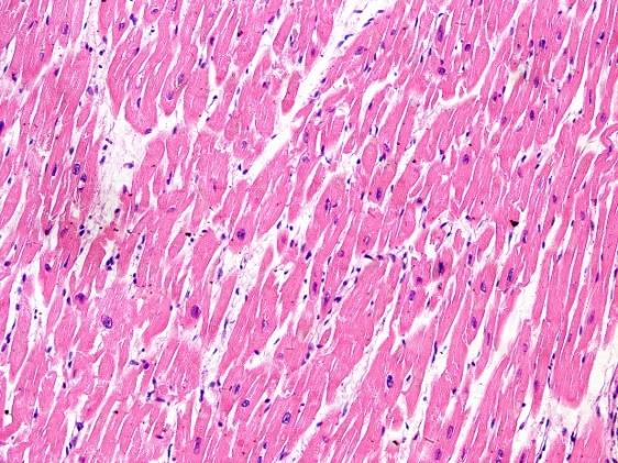
2)心脏肥大,重380g,心尖钝圆,右心室壁增厚,右心室扩张;胸膜肥厚、粘连,肺细小动脉肌化,中膜增生、肥厚,急性肺淤血,肺部慢性炎症,灶状肺气肿;冠状动脉左前降支及左旋支病变Ⅱ级。

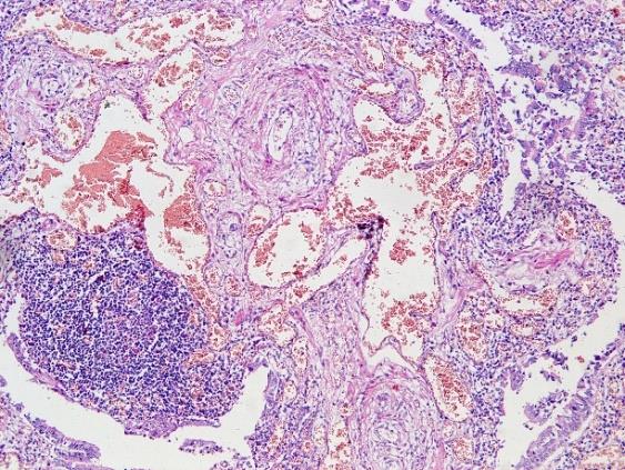
3)双侧部分胸膜呈纤维素性渗出伴机化增厚改变;双肺支气管周围见以淋巴细胞为主、伴浆细胞浸润,管腔内可见少量黏液栓形成;双肺肺泡间隔部分纤维性增厚,毛细血管充血、扩张,肺泡腔可见大量水肿液、巨噬细胞增生并周围肺泡过度充气及肺气肿改变,同时可见局部无肌性细动脉肌化及肌型小动脉中膜增厚、肺组织少量纤维性结节增生、多发性微脓肿形成。

4)脑组织水肿,脑膜及脑实质血管轻度淤血。

5)胃黏膜浅层充血、水肿,伴淋巴细胞、浆细胞浸润。

6)急性肝、脾淤血,肝窦、脾髓窦扩张、淤血。

7)肾皮质、髓质间质血管扩张、充血。

8)胰腺、肠轻度自溶。

4.法医病理学诊断

1)重度缩窄性心包炎:大部分心包脏、壁层机化、粘连,伴慢性炎性细胞浸润;心包腔明显缩窄,大部分消失。

2)冠状动脉粥样硬化(左前降支及左旋支病变Ⅱ级)。

3)脑组织轻度淤血、水肿。

4)慢性胃炎。

5)肝、脾、肾淤血。

6)胰腺、肠轻度自溶。

【分析说明】

1.根据对刘某某尸体体表及解剖检验,结合送检材料记载:刘某某体表及内部主要器官均未检见机械性损伤及机械性窒息征象,可排除其因机械性损伤及机械性窒息所致死亡的可能;组织病理学检验亦未见嗜酸性粒细胞浸润等药物过敏征象,可排除其因药物过敏反应引起死亡的可能。

2.根据对刘某某的尸体解剖检验和组织病理学检验,发现其患有重度缩窄性心包炎(心包腔明显缩窄,大部分消失)、肺心病(心重380g,心尖钝圆,右心室肥厚,右心室扩张;胸膜肥厚、粘连,肺细小动脉肌化,中膜增生、肥厚,肺部慢性炎症)及冠状动脉粥样硬化(左前降支及左旋支病变Ⅱ级);余主要器官表现为淤血、水肿等急性死亡的一般征象;结合病史(2020年11月11日因“喉咙不适、流涕”到村卫生室诊治,输液治疗5天,诉“胃部不适”并出现“面色苍白”,经抢救无效很快死亡)。

综上分析认为:刘某某系患重度缩窄性心包炎合并肺心病、冠状动脉粥样硬化致急性循环、呼吸功能衰竭而死亡。

【鉴定意见】

刘某某系患重度缩窄性心包炎合并肺心病、冠状动脉粥样硬化致急性循环、呼吸功能衰竭而死亡。

右肺下叶,HE,×100 左肺上叶,HE,×100

肺细小动脉肌化、中膜增厚,急性肺淤血,慢性炎性细胞浸润

HE,×40 HE,×200

冠状动脉左旋支粥样硬化并钙化

您的满意度:
满意
基本满意
不满意
您的满意度: