公众服务首页
司法行政人员首页
欢迎您访问司法行政(法律服务)案例库
首页 > 海南医学院法医鉴定中心对饮酒后死亡原因进行法医病理鉴定案例

海南医学院法医鉴定中心对饮酒后死亡原因进行法医病理鉴定案例

分享
案例内容
【案情简介】

陈某,女,36岁。因3天前出现畏寒、乏力,伴发热,偶有咳嗽、咳少量白色粘痰,自以为“感冒”。

某日,陈某参加同学聚会,期间饮酒少量。回家后自感乏力加重,伴头晕、胸闷、黑朦、气促不适,就诊于当地医院急诊科。查体:体温35℃,脉搏122次/分,呼吸36次/分,血压测不出,四肢皮肤湿冷,双肺呼吸音清,腹平软,左中下腹轻压痛。入院给予抗休克等多项治疗,但休克难以逆转。入院后3小时心跳骤停,经抢救无效死亡。因家属对陈某的死因存在可疑,于是当地公安机关委托海南医学院法医鉴定中心对陈某的死亡原因进行司法鉴定。

【鉴定过程】

尸表检验:女性尸体,尸长149cm,营养、发育正常。尸斑暗红色,位于背侧未受压部位,指压不褪色,尸僵见于各大关节。头顶部发长30cm,黑色。双眼球睑结膜苍白,角膜重度混浊,双侧瞳孔不能窥视,双侧外耳道无分泌物流出,鼻腔、口腔少许淡黄色液体流出,口唇粘膜、牙齿未见损伤。双手指甲床轻度发绀。手背、锁骨下等处见注射针眼痕。全身体表皮肤未见损伤,脊柱、肢体未及骨折,会阴未见异常。余尸表(-)。

解剖检验:头皮及帽状腱膜下未见出血,各颅骨未见骨折,颅内各腔隙未见出血,脑重1400g,表面及切面未见出血,脑膜血管扩张淤血,脑底动脉环血管壁未见粥样硬化。颈部皮下及肌肉未见出血,舌骨、甲状软骨、环状软骨未见骨折,喉头无水肿,喉头及气管内未见异物堵塞,胸壁皮下及肌肉未见出血,胸骨及肋骨未见骨折,双侧胸腔及心包腔内各见少量淡黄色清亮积液,左肺重420g,右肺重460g,双肺表面无粘连,切面呈暗红,肺门淋巴结稍肿大。心脏重280g,左心室壁厚度1.1cm,右心室壁厚度0.3cm,心内膜尚光滑,各瓣膜周径分别为:二尖瓣8cm,三尖瓣11cm,主动脉瓣6cm,肺动脉瓣7cm,左、右冠状动脉开口正常,左、右冠状动脉内膜未见明显粥样硬化增厚,管腔未见狭窄。腹壁皮下脂肪厚3cm,未见出血,大网膜及各器官位置正常,大小正常,腹腔见少量淡黄色清亮积液,大、小肠未见扭转、梗阻等异常,子宫及附件未见异常。余未见明显异常。

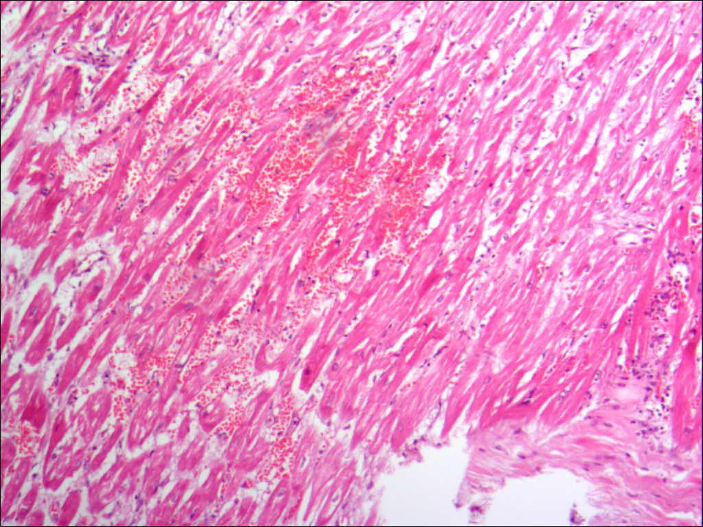
组织病理学检验:脑:蛛网膜下腔未见出血,脑神经细胞结构正常,间质轻度淤血、水肿,未见出血及炎性细胞浸润。心脏:心外膜见多处单核、淋巴细胞浸润,心肌纤维排列尚规则,间质多处见灶片状单核、淋巴细胞浸润及灶性出血,心传导系统窦房结间质少许淋巴细胞浸润,冠状动脉内膜未见明显异常(图1、2、3、4)。肺脏:双肺间质淤血、水肿明显,肺泡腔内见水肿液及脱落上皮样细胞,肺间质及肺泡腔未见明显炎性细胞浸润。其余各器官未见明显异常。

毒物检验:死者心血中检出酒精,含量为6.5mg/100ml。未检见常见毒药物。

IgE检验:死者心血中IgE结果正常范围。

【分析说明】

经对陈某进行法医病理学系统尸体解剖、组织病理学检验、毒物检验、IgE检验,并结合案情经过等,综合分析如下:

1.死者全身未见确切机械性损伤及机械性窒息相关证据,故其因机械性损伤及机械性窒息致死缺乏依据。

2.尸检死者喉头未见水肿,各器官组织未检见嗜酸性粒细胞浸润等相关过敏反应所致的病理学改变,故其因过敏反应致死缺乏依据。

3.经毒物检验,死者心血中检出酒精,含量为6.5mg/100ml,远低于致死血浓度;未检见常见毒药物,可排除以上毒药物中毒。

4.尸检见死者心脏心外膜、心肌间质及心传导系统等多处单核、淋巴细胞等炎性细胞浸润,以上所见符合心肌炎的法医病理学改变,且其程度重,可以引起死亡。

5.死者脑、肺、肝、脾、肾、胰等器官组织淤血、水肿,未检见损伤及致死性疾病。

【鉴定意见】

经法医病理学系统尸体解剖、组织病理学检验、毒物检验、IgE检验,陈某符合心肌炎致循环、呼吸功能衰竭而死亡。

心外膜炎性细胞浸润 心外膜炎性细胞浸润

图1:  心外膜炎性细胞浸润             图2:  心外膜炎性细胞浸润

心肌间质炎性细胞浸润 心肌间质炎性细胞浸润并出血

图3:心肌间质炎性细胞浸润         图4:心肌间质炎性细胞浸润并出血

您的满意度:
满意
基本满意
不满意
您的满意度: