公众服务首页
司法行政人员首页
欢迎您访问司法行政(法律服务)案例库
首页 > 司法鉴定科学研究院对涉嫌故意伤害罪受害人伤残等级重新进行法医临床鉴定案

司法鉴定科学研究院对涉嫌故意伤害罪受害人伤残等级重新进行法医临床鉴定案

分享
案例内容
【案情简介】

许某(男,48岁)于2019年2月25日在一餐馆内遭他人用酒杯砸伤左额部,当即流血,伤后即被送往医院诊治。入院时主诉:头部外伤半小时,无头晕、呕吐。查体:神清,对答切题,双瞳等大等圆,对光反射(+),左额见一裂伤,长约1.5cm,伴出血,四肢活动可。诊断:头部外伤。头颅CT示:右额叶高密度影,出血或者占位可能。

2019年2月25日头颅CT放射学诊断:右侧颞叶片状高密度影,考虑出血灶可能,左侧额部皮下软组织肿胀。

2019年2月26日头颅CT放射学诊断:右侧颞叶片状高密度影,较2019年2月25日大致相仿,出血灶可能,左侧额部皮下软组织肿胀。

2019年3月14日头颅CT放射学诊断:右侧颞叶片状高密度影(较2019年2月26日大致相仿),结合病史及既往CT、MRI老片,考虑占位。

2019年4月6日某大学附属医院头颅MRI放射学诊断:右侧颞叶海绵状血管瘤。

2019年3月12日当地某司法鉴定机构鉴定认为:许某因外伤致颅内出血构成轻伤一级。但犯罪嫌疑人对该鉴定结果提出异议,申请重新鉴定。为正确处理此案,当地公安机关委托本院对许某的人体损伤程度及其损伤与疾病之间的因果关系进行法医学重新鉴定。

【鉴定过程】

1、检验方法

SF/Z JD0103003-2011《法医临床检验规范》;

SF/Z JD0103006-2014《法医临床影像学检验实施规范》。

2、检查所见

自诉被他人用玻璃瓶砸伤额部。

神清,步入检查室,对答切题,查体配合。左额部见一长1.3cm条状皮肤瘢痕,色淡红,无明显隆起与凹陷,颅神经征(-)。四肢肌力5级,肌张力正常,神经系统生理反射正常引出,病理反射未引出。

3、阅片所见

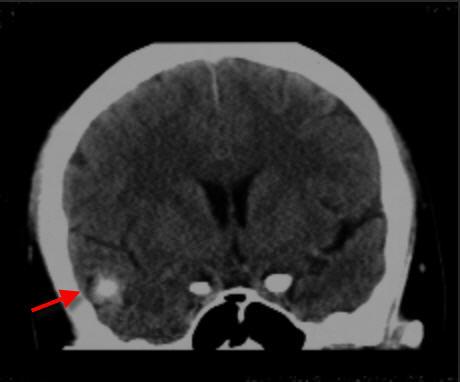
2019年2月25日头颅平扫+图像重组CT片示:左额部头皮软组织肿胀,右侧颞叶见类圆形高密度影,中线结构居中。

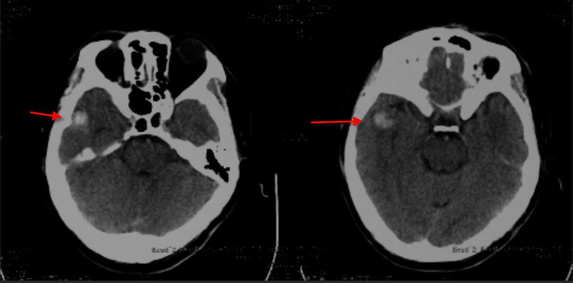
2019年2月26日头颅平扫+图像重组CT片示:左额部头皮软组织肿胀较前恢复,右侧颞叶见类圆形高密度影,较前无动态变化。

2019年2月28日头颅MRI片示:右侧颞叶见类圆形异常信号影,呈T1高信号,FLAIR周边高、中央低信号,增强后未见明显强化。

2019年3月1日头颅CTA片示:双侧颈内动脉及椎基底动脉未见明显异常,右侧颞叶斑片状高密度影。

2019年3月14日头颅平扫+图像重组CT片示:左额部头皮软组织肿胀已恢复,右侧颞叶见类圆形高密度影,较前无动态变化。

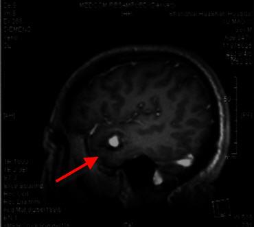
2019年4月6日头颅MRI片示:右侧颞叶见类圆形异常信号影,较前无动态变化,考虑右侧颞叶海绵状血管瘤。

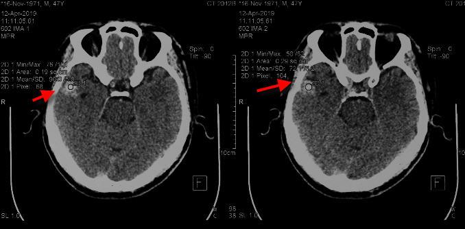
2019年4月12日本院头颅平扫+图像重组CT片示:右侧颞叶见类圆形高密度影,较前无动态变化。

【分析说明】

被鉴定人许某遭他人打伤,致左额部皮肤挫裂创,此外,临床影像学检查尚显示“右额叶高密度影”,考虑可能为出血或占位。伤后当日及次日头颅CT诊断:右侧颞叶片状高密度影,考虑出血灶可能,左侧额部皮下软组织肿胀。伤后3周复查头颅CT诊断:右侧颞叶片状高密度影(较2019年2月26日大致相仿),结合病史及既往CT、MRI检查结果,考虑为占位。2019年4月6日头颅MRI诊断:右侧颞叶海绵状血管瘤。

现本院审阅许某受伤当天影像学资料显示左额部头皮软组织肿胀,右侧颞叶见类圆形高密度影,中线结构居中;伤后3周复查头颅CT显示左额部头皮软组织肿胀已恢复,右侧颞叶见类圆形高密度影,较前无动态变化;伤后1月余复查头颅MRI显示右侧颞叶见类圆形异常信号影,呈T1高信号,FLAIR周边高、中央低信号,随访无动态变化;近期本院复查头颅CT显示右侧颞叶见类圆形高密度影,较前无动态变化。综上,分析其右侧颞叶类圆形高密度影,形态、密度等随时间变化无动态改变,不符合外伤后脑出血灶的演变规律,考虑系自身占位性病变(右侧颞叶海绵状血管瘤),与本次头部外伤之间存在因果关系的依据不足。

现本院检见许某左额部遗留条状皮肤瘢痕,单条长度未达4.5cm;四肢肌力5级,肌张力正常。依照《人体损伤程度鉴定标准》5.2.5b、5.2.5c之规定,其左额部软组织挫伤、遗留条状皮肤瘢痕均已构成轻微伤。

【鉴定意见】

1. 被鉴定人许某遭他人打伤,致左额部皮肤挫裂创等,遗留条状皮肤瘢痕,构成轻微伤。

2. 被鉴定人许某右侧颞叶类圆形高密度影与本次头部外伤之间存在因果关系依据不足。

受伤当天头颅CT片显示右侧颞叶见类圆形高密度影

受伤当日头颅CT片显示右侧颞叶见类圆形高密度影 4月12日头颅CT片未呈现动态变化

4月6日头颅MRI片显示右侧颞叶见类圆形异常信号影,考虑海绵状血管瘤。

您的满意度:
满意
基本满意
不满意
您的满意度: